产品中心

UBR5 rabbit pAb
一键复制产品信息
ES3670
规格: 价格:
50µL ¥1280.00
100µL ¥1980.00

Overview

Product name: UBR5 rabbit pAb
Reactivity: Human;Mouse
Alternative Names: UBR5; EDD; EDD1; HYD; KIAA0896; E3 ubiquitin-protein ligase UBR5; E3 ubiquitin-protein ligase; HECT domain-containing 1; Hyperplastic discs protein homolog; hHYD; Progestin-induced protein
Source: Rabbit
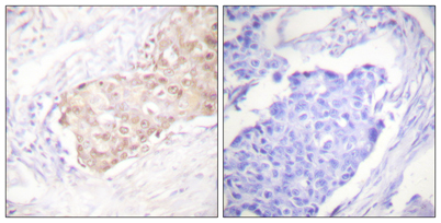
Dilutions: Western Blot: 1/500 - 1/2000. Immunohistochemistry: 1/100 - 1/300. ELISA: 1/5000. Not yet tested in other applications.
Immunogen: The antiserum was produced against synthesized peptide derived from human EDD. AA range:1-50
Storage: -20°C/1 year
Clonality: Polyclonal
Isotype: IgG
Concentration: 1 mg/ml
Observed Band: 309kD
GeneID: 51366
Human Swiss-Prot No: O95071
Cellular localization: Nucleus.
Background: This gene encodes a progestin-induced protein, which belongs to the HECT (homology to E6-AP carboxyl terminus) family. The HECT family proteins function as E3 ubiquitin-protein ligases, targeting specific proteins for ubiquitin-mediated proteolysis. This gene is localized to chromosome 8q22 which is disrupted in a variety of cancers. This gene potentially has a role in regulation of cell proliferation or differentiation. [provided by RefSeq, Jul 2008],
关闭

在线咨询

Online consultation

  • 在线咨询
  • 技术支持

关注微信公众号

微信扫一扫立即咨询

微信扫一扫立即咨询

关闭