产品中心

Tubulin β rabbit pAb
一键复制产品信息
ES3656
规格: 价格:
50µL ¥1280.00
100µL ¥1980.00

Overview

Product name: Tubulin β rabbit pAb
Reactivity: Human;Mouse;Rat;Pig;Cow;Fish
Alternative Names: TUBB3; TUBB4; Tubulin beta-3 chain; Tubulin beta-4 chain; Tubulin beta-III
Source: Rabbit
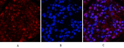
Dilutions: Western Blot: 1/500 - 1/2000. IHC-p: 1:100-300 ELISA: 1/20000. IF 1:100-300 Not yet tested in other applications.
Immunogen: The antiserum was produced against synthesized peptide derived from human Tubulin beta. AA range:401-450
Storage: -20°C/1 year
Clonality: Polyclonal
Isotype: IgG
Concentration: 1 mg/ml
Observed Band: 55kD
GeneID: 10381
Human Swiss-Prot No: Q13509
Cellular localization: Cytoplasm, cytoskeleton . Cell projection, growth cone . Cell projection, lamellipodium . Cell projection, filopodium .
Background: tubulin beta 3 class III(TUBB3) Homo sapiens This gene encodes a class III member of the beta tubulin protein family. Beta tubulins are one of two core protein families (alpha and beta tubulins) that heterodimerize and assemble to form microtubules. This protein is primarily expressed in neurons and may be involved in neurogenesis and axon guidance and maintenance. Mutations in this gene are the cause of congenital fibrosis of the extraocular muscles type 3. Alternate splicing results in multiple transcript variants. A pseudogene of this gene is found on chromosome 6. [provided by RefSeq, Oct 2010],
关闭

在线咨询

Online consultation

  • 在线咨询
  • 技术支持

关注微信公众号

微信扫一扫立即咨询

微信扫一扫立即咨询

关闭