产品中心

Tuberin rabbit pAb
一键复制产品信息
ES3653
规格: 价格:
50µL ¥1280.00
100µL ¥1980.00

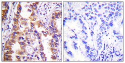
Overview

Product name: Tuberin rabbit pAb
Reactivity: Human;Mouse;Rat
Alternative Names: TSC2; TSC4; Tuberin; Tuberous sclerosis 2 protein
Source: Rabbit
Dilutions: Western Blot: 1/500 - 1/2000. Immunohistochemistry: 1/100 - 1/300. Immunofluorescence: 1/200 - 1/1000. ELISA: 1/10000. Not yet tested in other applications.
Immunogen: The antiserum was produced against synthesized peptide derived from human Tuberin/TSC2. AA range:905-954
Storage: -20°C/1 year
Clonality: Polyclonal
Isotype: IgG
Concentration: 1 mg/ml
Observed Band: 200kD
GeneID: 7249
Human Swiss-Prot No: P49815
Cellular localization: Cytoplasm. Membrane; Peripheral membrane protein. At steady state found in association with membranes.
Background: Mutations in this gene lead to tuberous sclerosis complex. Its gene product is believed to be a tumor suppressor and is able to stimulate specific GTPases. The protein associates with hamartin in a cytosolic complex, possibly acting as a chaperone for hamartin. Alternative splicing results in multiple transcript variants encoding different isoforms. [provided by RefSeq, Jul 2008],
关闭

在线咨询

Online consultation

  • 在线咨询
  • 技术支持

关注微信公众号

微信扫一扫立即咨询

微信扫一扫立即咨询

关闭