产品中心

TIMP-4 rabbit pAb
一键复制产品信息
ES3612
规格: 价格:
50µL ¥1280.00
100µL ¥1980.00

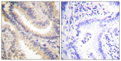
Overview

Product name: TIMP-4 rabbit pAb
Reactivity: Human;Mouse;Rat
Alternative Names: TIMP4; Metalloproteinase inhibitor 4; Tissue inhibitor of metalloproteinases 4; TIMP-4
Source: Rabbit
Dilutions: Western Blot: 1/500 - 1/2000. Immunohistochemistry: 1/100 - 1/300. ELISA: 1/20000. Not yet tested in other applications.
Immunogen: The antiserum was produced against synthesized peptide derived from human TIMP4. AA range:175-224
Storage: -20°C/1 year
Clonality: Polyclonal
Isotype: IgG
Concentration: 1 mg/ml
Observed Band: 26kD
GeneID: 7079
Human Swiss-Prot No: Q99727
Cellular localization: Secreted.
Background: This gene belongs to the TIMP gene family. The proteins encoded by this gene family are inhibitors of the matrix metalloproteinases, a group of peptidases involved in degradation of the extracellular matrix. The secreted, netrin domain-containing protein encoded by this gene is involved in regulation of platelet aggregation and recruitment and may play role in hormonal regulation and endometrial tissue remodeling. [provided by RefSeq, Jul 2008],
关闭

在线咨询

Online consultation

  • 在线咨询
  • 技术支持

关注微信公众号

微信扫一扫立即咨询

微信扫一扫立即咨询

关闭