产品中心

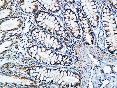
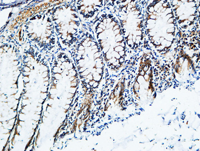
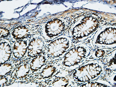
TIMP-2 rabbit pAb
一键复制产品信息
ES3610
规格: 价格:
50µL ¥1280.00
100µL ¥1980.00

Overview

Product name: TIMP-2 rabbit pAb
Reactivity: Human;Mouse;Rat
Alternative Names: TIMP2; Metalloproteinase inhibitor 2; CSC-21K; Tissue inhibitor of metalloproteinases 2; TIMP-2
Source: Rabbit
Dilutions: Western Blot: 1/500 - 1/2000. Immunohistochemistry: 1/100 - 1/300. Immunofluorescence: 1/200 - 1/1000. ELISA: 1/40000. Not yet tested in other applications.
Immunogen: The antiserum was produced against synthesized peptide derived from human TIMP2. AA range:21-70
Storage: -20°C/1 year
Clonality: Polyclonal
Isotype: IgG
Concentration: 1 mg/ml
Observed Band: 25kD
GeneID: 7077
Human Swiss-Prot No: P16035
Cellular localization: Secreted.
Background: This gene is a member of the TIMP gene family. The proteins encoded by this gene family are natural inhibitors of the matrix metalloproteinases, a group of peptidases involved in degradation of the extracellular matrix. In addition to an inhibitory role against metalloproteinases, the encoded protein has a unique role among TIMP family members in its ability to directly suppress the proliferation of endothelial cells. As a result, the encoded protein may be critical to the maintenance of tissue homeostasis by suppressing the proliferation of quiescent tissues in response to angiogenic factors, and by inhibiting protease activity in tissues undergoing remodelling of the extracellular matrix. [provided by RefSeq, Jul 2008],
关闭

在线咨询

Online consultation

  • 在线咨询
  • 技术支持

关注微信公众号

微信扫一扫立即咨询

微信扫一扫立即咨询

关闭