产品中心

TGFβ RII rabbit pAb
一键复制产品信息
ES3596
规格: 价格:
50µL ¥1280.00
100µL ¥1980.00

Overview

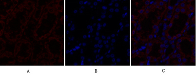
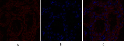
Product name: TGFβ RII rabbit pAb
Reactivity: Human;Mouse;Rat
Alternative Names: TGFBR2; TGF-beta receptor type-2; TGFR-2; TGF-beta type II receptor; Transforming growth factor-beta receptor type II; TGF-beta receptor type II; TbetaR-II
Source: Rabbit
Dilutions: IF: 1:50-200 Western Blot: 1/500 - 1/2000. Immunohistochemistry: 1/100 - 1/300. ELISA: 1/20000. Not yet tested in other applications.
Immunogen: The antiserum was produced against synthesized peptide derived from human TGF beta Receptor II. AA range:91-140
Storage: -20°C/1 year
Clonality: Polyclonal
Isotype: IgG
Concentration: 1 mg/ml
Observed Band: 65kD
GeneID: 7048
Human Swiss-Prot No: P37173
Cellular localization: Cell membrane ; Single-pass type I membrane protein . Membrane raft .; [Isoform 3]: Secreted .
Background: This gene encodes a member of the Ser/Thr protein kinase family and the TGFB receptor subfamily. The encoded protein is a transmembrane protein that has a protein kinase domain, forms a heterodimeric complex with another receptor protein, and binds TGF-beta. This receptor/ligand complex phosphorylates proteins, which then enter the nucleus and regulate the transcription of a subset of genes related to cell proliferation. Mutations in this gene have been associated with Marfan Syndrome, Loeys-Deitz Aortic Aneurysm Syndrome, and the development of various types of tumors. Alternatively spliced transcript variants encoding different isoforms have been characterized. [provided by RefSeq, Jul 2008],
关闭

在线咨询

Online consultation

  • 在线咨询
  • 技术支持

关注微信公众号

微信扫一扫立即咨询

微信扫一扫立即咨询

关闭