产品中心

TACC3 rabbit pAb
一键复制产品信息
ES3550
规格: 价格:
50µL ¥1280.00
100µL ¥1980.00

Overview

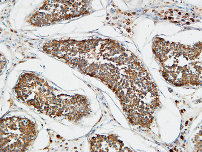
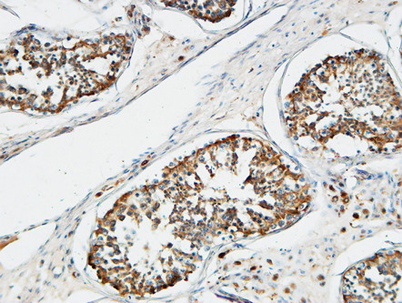
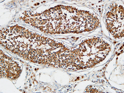
Product name: TACC3 rabbit pAb
Reactivity: Human;Mouse
Alternative Names: TACC3; ERIC1; Transforming acidic coiled-coil-containing protein 3; ERIC-1
Source: Rabbit
Dilutions: Western Blot: 1/500 - 1/2000. Immunohistochemistry: 1/100 - 1/300. Immunofluorescence: 1/200 - 1/1000. ELISA: 1/5000. Not yet tested in other applications.
Immunogen: The antiserum was produced against synthesized peptide derived from human TACC3. AA range:789-838
Storage: -20°C/1 year
Clonality: Polyclonal
Isotype: IgG
Concentration: 1 mg/ml
Observed Band: 80kD
GeneID: 10460
Human Swiss-Prot No: Q9Y6A5
Cellular localization: Cytoplasm . Cytoplasm, cytoskeleton, microtubule organizing center, centrosome . Cytoplasm, cytoskeleton, spindle . Cytoplasm, cytoskeleton, spindle pole . In complex with CKAP5 localized to microtubule plus-ends in mitosis and interphase. In complex with CKAP5 and clathrin localized to inter-microtubule bridges in mitotic spindles. .
Background: This gene encodes a member of the transforming acidic colied-coil protein family. The encoded protein is a motor spindle protein that may play a role in stabilization of the mitotic spindle. This protein may also play a role in growth a differentiation of certain cancer cells. [provided by RefSeq, Nov 2011],
关闭

在线咨询

Online consultation

  • 在线咨询
  • 技术支持

关注微信公众号

微信扫一扫立即咨询

微信扫一扫立即咨询

关闭