产品中心

Stat5a rabbit pAb
一键复制产品信息
ES3517
规格: 价格:
50µL ¥1280.00
100µL ¥1980.00

Overview

Product name: Stat5a rabbit pAb
Reactivity: Human;Mouse;Rat
Alternative Names: STAT5A; STAT5; Signal transducer and activator of transcription 5A
Source: Rabbit
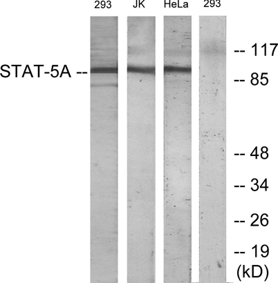
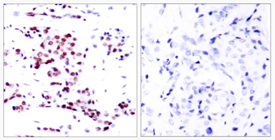
Dilutions: Western Blot: 1/500 - 1/2000. Immunohistochemistry: 1/100 - 1/300. ELISA: 1/20000. Not yet tested in other applications.
Immunogen: The antiserum was produced against synthesized peptide derived from human STAT5A. AA range:745-794
Storage: -20°C/1 year
Clonality: Polyclonal
Isotype: IgG
Concentration: 1 mg/ml
Observed Band: 91kD
GeneID: 6776
Human Swiss-Prot No: P42229
Cellular localization: Cytoplasm . Nucleus . Translocated into the nucleus in response to phosphorylation.
Background: The protein encoded by this gene is a member of the STAT family of transcription factors. In response to cytokines and growth factors, STAT family members are phosphorylated by the receptor associated kinases, and then form homo- or heterodimers that translocate to the cell nucleus where they act as transcription activators. This protein is activated by, and mediates the responses of many cell ligands, such as IL2, IL3, IL7 GM-CSF, erythropoietin, thrombopoietin, and different growth hormones. Activation of this protein in myeloma and lymphoma associated with a TEL/JAK2 gene fusion is independent of cell stimulus and has been shown to be essential for tumorigenesis. The mouse counterpart of this gene is found to induce the expression of BCL2L1/BCL-X(L), which suggests the antiapoptotic function of this gene in cells. Alternatively spliced transcript variants have been
关闭

在线咨询

Online consultation

  • 在线咨询
  • 技术支持

关注微信公众号

微信扫一扫立即咨询

微信扫一扫立即咨询

关闭