产品中心

SSB rabbit pAb
一键复制产品信息
ES3501
规格: 价格:
50µL ¥1280.00
100µL ¥1980.00

Overview

Product name: SSB rabbit pAb
Reactivity: Human;Rat;Mouse;
Alternative Names: SSB; Lupus La protein; La autoantigen; La ribonucleoprotein; Sjoegren syndrome type B antigen; SS-B
Source: Rabbit
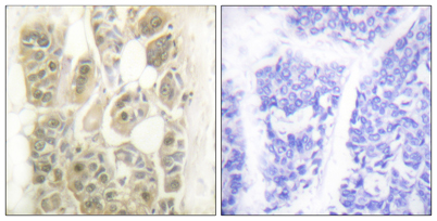
Dilutions: Western Blot: 1/500 - 1/2000. Immunohistochemistry: 1/100 - 1/300. ELISA: 1/40000. Not yet tested in other applications.
Immunogen: The antiserum was produced against synthesized peptide derived from human SSB. AA range:341-390
Storage: -20°C/1 year
Clonality: Polyclonal
Isotype: IgG
Concentration: 1 mg/ml
Observed Band: 47kD
GeneID: 6741
Human Swiss-Prot No: P05455
Cellular localization: Nucleus .
Background: Sjogren syndrome antigen B(SSB) Homo sapiens The protein encoded by this gene is involved in diverse aspects of RNA metabolism, including binding and protecting poly(U) termini of nascent RNA polymerase III transcripts from exonuclease digestion, processing 5' and 3' ends of pre-tRNA precursors, acting as an RNA chaperone, and binding viral RNAs associated with hepatitis C virus. Autoantibodies reacting with this protein are found in the sera of patients with Sjogren syndrome and systemic lupus erythematosus. Alternative promoter usage results in two different transcript variants which encode the same protein. [provided by RefSeq, Jun 2014],
关闭

在线咨询

Online consultation

  • 在线咨询
  • 技术支持

关注微信公众号

微信扫一扫立即咨询

微信扫一扫立即咨询

关闭