产品中心

Spindlin-1 rabbit pAb
一键复制产品信息
ES3485
规格: 价格:
50µL ¥1280.00
100µL ¥1980.00

Overview

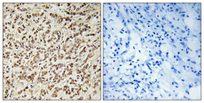
Product name: Spindlin-1 rabbit pAb
Reactivity: Human;Mouse;Rat
Alternative Names: SPIN1; OCR; SPIN; Spindlin-1; Ovarian cancer-related protein
Source: Rabbit
Dilutions: Western Blot: 1/500 - 1/2000. Immunohistochemistry: 1/100 - 1/300. Immunofluorescence: 1/200 - 1/1000. ELISA: 1/20000. Not yet tested in other applications.
Immunogen: The antiserum was produced against synthesized peptide derived from human SPIN1. AA range:111-160
Storage: -20°C/1 year
Clonality: Polyclonal
Isotype: IgG
Concentration: 1 mg/ml
Observed Band: 30kD
GeneID: 10927
Human Swiss-Prot No: Q9Y657
Cellular localization: Nucleus . Nucleus, nucleolus .
Background: function:May play a role in cell-cycle regulation during the transition from gamete to embryo.,PTM:Phosphorylated during oocyte meiotic maturation.,sequence caution:Translated as Glu.,similarity:Belongs to the SPIN/STSY family.,
关闭

在线咨询

Online consultation

  • 在线咨询
  • 技术支持

关注微信公众号

微信扫一扫立即咨询

微信扫一扫立即咨询

关闭