产品中心

Septin 7 rabbit pAb
一键复制产品信息
ES3426
规格: 价格:
50µL ¥1280.00
100µL ¥1980.00

Overview

Product name: Septin 7 rabbit pAb
Reactivity: Human;Mouse;Rat
Alternative Names: SEPT7; CDC10; Septin-7; CDC10 protein homolog
Source: Rabbit
Dilutions: Western Blot: 1/500 - 1/2000.IHC-p:1:50-300 ELISA: 1/20000. Not yet tested in other applications.
Immunogen: The antiserum was produced against synthesized peptide derived from human SEPT7. AA range:350-399
Storage: -20°C/1 year
Clonality: Polyclonal
Isotype: IgG
Concentration: 1 mg/ml
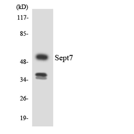
Observed Band: 48kD
GeneID: 989
Human Swiss-Prot No: Q16181
Cellular localization: Cytoplasm . Chromosome, centromere, kinetochore . Cytoplasm, cytoskeleton, spindle . Cleavage furrow . Midbody . Cytoplasm, cytoskeleton, cilium axoneme . Cell projection, cilium, flagellum . Distributed throughout the cytoplasm in prometaphase cells. Associated with the spindle during metaphase. Associated with the central spindle and at the cleavage furrow in anaphase cells. Detected at the midbody in telophase. Associated with actin stress fibers (By similarity). Found in the sperm annulus (PubMed:25588830). .
Background: septin 7(SEPT7) Homo sapiens This gene encodes a protein that is highly similar to the CDC10 protein of Saccharomyces cerevisiae. The protein also shares similarity with Diff 6 of Drosophila and with H5 of mouse. Each of these similar proteins, including the yeast CDC10, contains a GTP-binding motif. The yeast CDC10 protein is a structural component of the 10 nm filament which lies inside the cytoplasmic membrane and is essential for cytokinesis. This human protein functions in gliomagenesis and in the suppression of glioma cell growth, and it is required for the association of centromere-associated protein E with the kinetochore. Alternative splicing results in multiple transcript variants. Several related pseudogenes have been identified on chromosomes 5, 7, 9, 10, 11, 14, 17 and 19. [provided by RefSeq, Jul 2011],
关闭

在线咨询

Online consultation

  • 在线咨询
  • 技术支持

关注微信公众号

微信扫一扫立即咨询

微信扫一扫立即咨询

关闭