产品中心

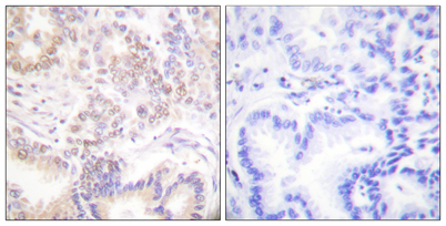
SENP5 rabbit pAb
一键复制产品信息
ES3420
规格: 价格:
50µL ¥1280.00
100µL ¥1980.00

Overview

Product name: SENP5 rabbit pAb
Reactivity: Human;Mouse;Monkey
Alternative Names: SENP5; FKSG45; Sentrin-specific protease 5; Sentrin/SUMO-specific protease SENP5
Source: Rabbit
Dilutions: Western Blot: 1/500 - 1/2000. Immunohistochemistry: 1/100 - 1/300. ELISA: 1/20000. Not yet tested in other applications.
Immunogen: The antiserum was produced against synthesized peptide derived from human SENP5. AA range:651-700
Storage: -20°C/1 year
Clonality: Polyclonal
Isotype: IgG
Concentration: 1 mg/ml
Observed Band: 86kD
GeneID: 205564
Human Swiss-Prot No: Q96HI0
Cellular localization: Nucleus, nucleolus .
Background: The reversible posttranslational modification of proteins by the addition of small ubiquitin-like SUMO proteins (see SUMO1; MIM 601912) is required for numerous biologic processes. SUMO-specific proteases, such as SENP5, are responsible for the initial processing of SUMO precursors to generate a C-terminal diglycine motif required for the conjugation reaction. They also have isopeptidase activity for the removal of SUMO from high molecular mass SUMO conjugates (Di Bacco et al., 2006 [PubMed 16738315]).[supplied by OMIM, Jun 2009],
关闭

在线咨询

Online consultation

  • 在线咨询
  • 技术支持

关注微信公众号

微信扫一扫立即咨询

微信扫一扫立即咨询

关闭