产品中心

RSAD1 rabbit pAb
一键复制产品信息
ES3395
规格: 价格:
50µL ¥1280.00
100µL ¥1980.00

Overview

Product name: RSAD1 rabbit pAb
Reactivity: Human;Mouse
Alternative Names: RSAD1; Radical S-adenosyl methionine domain-containing protein 1; mitochondrial; Oxygen-independent coproporphyrinogen-III oxidase-like protein RSAD1
Source: Rabbit
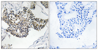
Dilutions: Western Blot: 1/500 - 1/2000. Immunohistochemistry: 1/100 - 1/300. ELISA: 1/5000. Not yet tested in other applications.
Immunogen: The antiserum was produced against synthesized peptide derived from human RSAD1. AA range:298-347
Storage: -20°C/1 year
Clonality: Polyclonal
Isotype: IgG
Concentration: 1 mg/ml
Observed Band: 52kD
GeneID: 55316
Human Swiss-Prot No: Q9HA92
Cellular localization: Mitochondrion .
Background: cofactor:Binds 1 4Fe-4S cluster. The cluster is coordinated with 3 cysteines and an exchangeable S-adenosyl-L-methionine .,function:May be involved in porphyrin cofactor biosynthesis.,similarity:Belongs to the anaerobic coproporphyrinogen-III oxidase family.,
关闭

在线咨询

Online consultation

  • 在线咨询
  • 技术支持

关注微信公众号

微信扫一扫立即咨询

微信扫一扫立即咨询

关闭