首页
产品中心
抗体
单克隆抗体
多克隆抗体
二抗
内参及标签抗体
ELISA试剂盒
常规法
一步法(EasyStep)
微量法(Microsample)
分子生物学
核酸提取与纯化
qPCR/RT-PCR
克隆系统
细胞代谢与生化检测
生化检测试剂盒
蛋白
重组/天然蛋白
研究方向
最新活动
技术专栏
引用文献
实验小贴士
常见问题
技术讨论
资料下载
新闻中心
公司新闻
行业新闻
产品画册
关于我们
公司介绍
客户评鉴
人才招聘
联系我们
联系订购
网站首页
产品中心
抗体
单克隆抗体
多克隆抗体
二抗
内参及标签抗体
ELISA试剂盒
常规法
一步法(EasyStep)
微量法(Microsample)
分子生物学
核酸提取与纯化
qPCR/RT-PCR
克隆系统
细胞代谢与生化检测
生化检测试剂盒
蛋白
重组/天然蛋白
研究方向
最新活动
最新活动
技术专栏
引用文献
实验小贴士
常见问题
技术讨论
资料下载
新闻中心
公司新闻
行业新闻
产品画册
关于我们
公司介绍
客户评鉴
人才招聘
联系我们
联系订购
产品中心
抗体
ELISA试剂盒
分子生物学
细胞代谢与生化检测
蛋白
RNF113B rabbit pAb
一键复制产品信息
ES3385
¥1280.00/50µL ¥1980.00/100µL
规格:
价格:
50µL
¥1280.00
100µL
¥1980.00
下载说明 ①
Overview
Product name:
RNF113B rabbit pAb
Reactivity:
Human;Rat;Mouse;
Alternative Names:
RNF113B; RNF161; ZNF183L1; RING finger protein 113B; Zinc finger protein 183-like 1
Source:
Rabbit
Dilutions:
WB 1:500-2000;IHC-p 1:50-300
Immunogen:
Synthesized peptide derived from the Internal region of human RNF113B.
Storage:
-20°C/1 year
Clonality:
Polyclonal
Isotype:
IgG
Concentration:
1 mg/ml
Observed Band:
36kD
GeneID:
140432
Human Swiss-Prot No:
Q8IZP6
Cellular localization:
U2-type spliceosomal complex,
Background:
similarity:Contains 1 C3H1-type zinc finger.,similarity:Contains 1 RING-type zinc finger.,
Western Blot analysis of various cells using RNF113B Polyclonal Antibody
Western Blot analysis of 293 cells using RNF113B Polyclonal Antibody
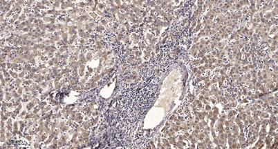
Immunohistochemical analysis of paraffin-embedded human liver cancer. 1, Antibody was diluted at 1:200(4° overnight). 2, Tris-EDTA,pH9.0 was used for antigen retrieval. 3,Secondary antibody was diluted at 1:200(room temperature, 45min).
关闭
在线咨询
Online consultation
在线咨询
技术支持
关注微信公众号
微信扫一扫立即咨询
微信电脑端咨询
微信扫一扫立即咨询
微信电脑端咨询
关闭