首页
产品中心
抗体
单克隆抗体
多克隆抗体
二抗
内参及标签抗体
ELISA试剂盒
常规法
一步法(EasyStep)
微量法(Microsample)
分子生物学
核酸提取与纯化
qPCR/RT-PCR
克隆系统
细胞代谢与生化检测
生化检测试剂盒
蛋白
重组/天然蛋白
研究方向
最新活动
技术专栏
引用文献
实验小贴士
常见问题
技术讨论
资料下载
新闻中心
公司新闻
行业新闻
产品画册
关于我们
公司介绍
客户评鉴
人才招聘
联系我们
联系订购
网站首页
产品中心
抗体
单克隆抗体
多克隆抗体
二抗
内参及标签抗体
ELISA试剂盒
常规法
一步法(EasyStep)
微量法(Microsample)
分子生物学
核酸提取与纯化
qPCR/RT-PCR
克隆系统
细胞代谢与生化检测
生化检测试剂盒
蛋白
重组/天然蛋白
研究方向
最新活动
最新活动
技术专栏
引用文献
实验小贴士
常见问题
技术讨论
资料下载
新闻中心
公司新闻
行业新闻
产品画册
关于我们
公司介绍
客户评鉴
人才招聘
联系我们
联系订购
产品中心
抗体
ELISA试剂盒
分子生物学
细胞代谢与生化检测
蛋白
RECS1 rabbit pAb
一键复制产品信息
ES3336
¥1280.00/50µL ¥1980.00/100µL
规格:
价格:
50µL
¥1280.00
100µL
¥1980.00
下载说明 ①
Overview
Product name:
RECS1 rabbit pAb
Reactivity:
Human;Mouse;Rat
Alternative Names:
TMBIM1; LFG3; RECS1; PP1201; PSEC0158; Protein lifeguard 3; Protein RECS1 homolog; Transmembrane BAX inhibitor motif-containing protein 1
Source:
Rabbit
Dilutions:
Western Blot: 1/500 - 1/2000. Immunohistochemistry: 1/100 - 1/300. ELISA: 1/40000. Not yet tested in other applications.
Immunogen:
The antiserum was produced against synthesized peptide derived from human TMBIM1. AA range:251-300
Storage:
-20°C/1 year
Clonality:
Polyclonal
Isotype:
IgG
Concentration:
1 mg/ml
Observed Band:
35kD
GeneID:
64114
Human Swiss-Prot No:
Q969X1
Cellular localization:
Membrane ; Multi-pass membrane protein . Lysosome membrane . Endosome membrane .
Background:
similarity:Belongs to the BI1 family.,
Western Blot analysis of various cells using RECS1 Polyclonal Antibody diluted at 1:1000
Western blot analysis of lysates from HUVEC cells, using TMBIM1 Antibody. The lane on the right is blocked with the synthesized peptide.
Western blot analysis of the lysates from K562 cells using TMBIM1 antibody.
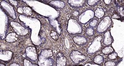
Immunohistochemical analysis of paraffin-embedded human colon cancer. 1, Tris-EDTA,pH9.0 was used for antigen retrieval. 2 Antibody was diluted at 1:200(4° overnight.3,Secondary antibody was diluted at 1:200(room temperature, 45min).
关闭
在线咨询
Online consultation
在线咨询
技术支持
关注微信公众号
微信扫一扫立即咨询
微信电脑端咨询
微信扫一扫立即咨询
微信电脑端咨询
关闭