产品中心

Rb rabbit pAb
一键复制产品信息
ES3333
规格: 价格:
50µL ¥1280.00
100µL ¥1980.00

Overview

Product name: Rb rabbit pAb
Reactivity: Human;Mouse;Rat
Alternative Names: RB1; Retinoblastoma-associated protein; p105-Rb; pRb; Rb; pp110
Source: Rabbit
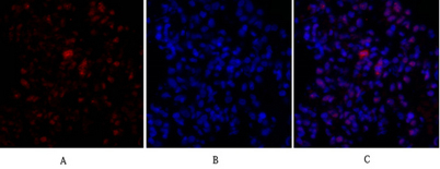
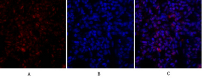
Dilutions: Western Blot: 1/500 - 1/2000. Immunohistochemistry: 1/100 - 1/300. Immunofluorescence: 1/200 - 1/1000. ELISA: 1/20000. Not yet tested in other applications.
Immunogen: The antiserum was produced against synthesized peptide derived from human Retinoblastoma. AA range:751-800
Storage: -20°C/1 year
Clonality: Polyclonal
Isotype: IgG
Concentration: 1 mg/ml
Observed Band: 106kD
GeneID: 5925
Human Swiss-Prot No: P06400
Cellular localization: Nucleus . During keratinocyte differentiation, acetylation by KAT2B/PCAF is required for nuclear localization. .
Background: The protein encoded by this gene is a negative regulator of the cell cycle and was the first tumor suppressor gene found. The encoded protein also stabilizes constitutive heterochromatin to maintain the overall chromatin structure. The active, hypophosphorylated form of the protein binds transcription factor E2F1. Defects in this gene are a cause of childhood cancer retinoblastoma (RB), bladder cancer, and osteogenic sarcoma. [provided by RefSeq, Jul 2008],
关闭

在线咨询

Online consultation

  • 在线咨询
  • 技术支持

关注微信公众号

微信扫一扫立即咨询

微信扫一扫立即咨询

关闭