产品中心

Ptx3 rabbit pAb
一键复制产品信息
ES3283
规格: 价格:
50µL ¥1280.00
100µL ¥1980.00

Overview

Product name: Ptx3 rabbit pAb
Reactivity: Human;Mouse
Alternative Names: PTX3; TNFAIP5; TSG14; Pentraxin-related protein PTX3; Pentaxin-related protein PTX3; Tumor necrosis factor alpha-induced protein 5; TNF alpha-induced protein 5; Tumor necrosis factor-inducible gene 14 protein; TSG-14
Source: Rabbit
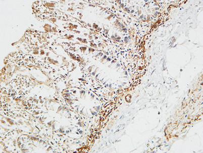
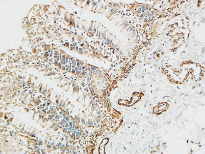
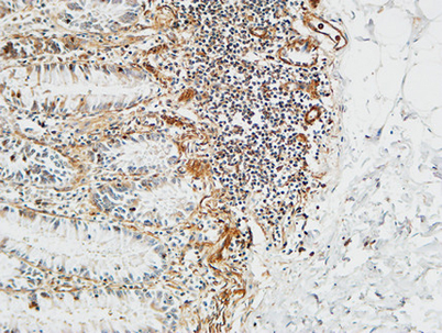
Dilutions: Western Blot: 1/500 - 1/2000. Immunohistochemistry: 1/100 - 1/300. Immunofluorescence: 1/200 - 1/1000. ELISA: 1/10000. Not yet tested in other applications.
Immunogen: The antiserum was produced against synthesized peptide derived from human PTX3. AA range:1-50
Storage: -20°C/1 year
Clonality: Polyclonal
Isotype: IgG
Concentration: 1 mg/ml
Observed Band: 40kD
GeneID: 5806
Human Swiss-Prot No: P26022
Cellular localization: Secreted.
Background: This gene encodes a member of the pentraxin protein family. The expression of this protein is induced by inflammatory cytokines in response to inflammatory stimuli in several mesenchymal and epithelial cell types, particularly endothelial cells and mononuclear phagocytes. The protein promotes fibrocyte differentiation and is involved in regulating inflammation and complement activation. It also plays a role in angiogenesis and tissue remodeling. The protein serves as a biomarker for several inflammatory conditions. [provided by RefSeq, Jun 2016],
关闭

在线咨询

Online consultation

  • 在线咨询
  • 技术支持

关注微信公众号

微信扫一扫立即咨询

微信扫一扫立即咨询

关闭