产品中心

PPAR-γ rabbit pAb
一键复制产品信息
ES3251
规格: 价格:
50µL ¥1280.00
100µL ¥1980.00

Overview

Product name: PPAR-γ rabbit pAb
Reactivity: Human;Mouse;Rat
Alternative Names: PPARG; NR1C3; Peroxisome proliferator-activated receptor gamma; PPAR-gamma; Nuclear receptor subfamily 1 group C member 3
Source: Rabbit
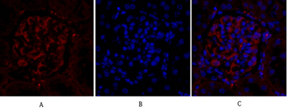
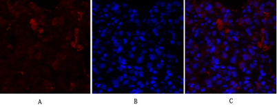
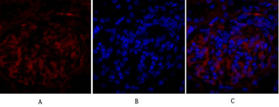
Dilutions: IF: 1:50-200 Western Blot: 1/500 - 1/2000. Immunohistochemistry: 1/100 - 1/300. ELISA: 1/10000. Not yet tested in other applications.
Immunogen: The antiserum was produced against synthesized peptide derived from human PPAR-gamma. AA range:78-127
Storage: -20°C/1 year
Clonality: Polyclonal
Isotype: IgG
Concentration: 1 mg/ml
Observed Band: 57kD
GeneID: 5468
Human Swiss-Prot No: P37231
Cellular localization: Nucleus. Cytoplasm. Redistributed from the nucleus to the cytosol through a MAP2K1/MEK1-dependent manner. NOCT enhances its nuclear translocation.
Background: peroxisome proliferator activated receptor gamma(PPARG) Homo sapiens This gene encodes a member of the peroxisome proliferator-activated receptor (PPAR) subfamily of nuclear receptors. PPARs form heterodimers with retinoid X receptors (RXRs) and these heterodimers regulate transcription of various genes. Three subtypes of PPARs are known: PPAR-alpha, PPAR-delta, and PPAR-gamma. The protein encoded by this gene is PPAR-gamma and is a regulator of adipocyte differentiation. Additionally, PPAR-gamma has been implicated in the pathology of numerous diseases including obesity, diabetes, atherosclerosis and cancer. Alternatively spliced transcript variants that encode different isoforms have been described. [provided by RefSeq, Jul 2008],
关闭

在线咨询

Online consultation

  • 在线咨询
  • 技术支持

关注微信公众号

微信扫一扫立即咨询

微信扫一扫立即咨询

关闭