产品中心

PKM2 rabbit pAb
一键复制产品信息
ES3229
规格: 价格:
50µL ¥1280.00
100µL ¥1980.00

Overview

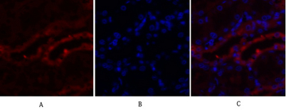
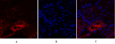
Product name: PKM2 rabbit pAb
Reactivity: Human;Mouse;Rat
Alternative Names: PKM; OIP3; PK2; PK3; PKM2; Pyruvate kinase isozymes M1/M2; Cytosolic thyroid hormone-binding protein; CTHBP; Opa-interacting protein 3; OIP-3; Pyruvate kinase 2/3; Pyruvate kinase muscle isozyme; Thyroid hormone-binding protein 1; THBP1; Tu
Source: Rabbit
Dilutions: IF: 1:50-200 WB 1:500-2000, ELISA 1:10000-20000 IHC 1:50-300
Immunogen: The antiserum was produced against synthesized peptide derived from human PKM2. AA range:181-230
Storage: -20°C/1 year
Clonality: Polyclonal
Isotype: IgG
Concentration: 1 mg/ml
Observed Band: 58kD
GeneID: 5315
Human Swiss-Prot No: P14618
Cellular localization: [Isoform M2]: Cytoplasm . Nucleus . Translocates to the nucleus in response to various signals, such as EGF receptor activation or apoptotic stimuli (PubMed:17308100, PubMed:22056988, PubMed:24120661). Nuclear translocation is promoted by acetylation by EP300 (PubMed:24120661). Deacetylation by SIRT6 promotes its nuclear export in a process dependent of XPO4, thereby suppressing its ability to activate transcription and promote tumorigenesis (PubMed:26787900). .; [Isoform M1]: Cytoplasm .
Background: This gene encodes a protein involved in glycolysis. The encoded protein is a pyruvate kinase that catalyzes the transfer of a phosphoryl group from phosphoenolpyruvate to ADP, generating ATP and pyruvate. This protein has been shown to interact with thyroid hormone and may mediate cellular metabolic effects induced by thyroid hormones. This protein has been found to bind Opa protein, a bacterial outer membrane protein involved in gonococcal adherence to and invasion of human cells, suggesting a role of this protein in bacterial pathogenesis. Several alternatively spliced transcript variants encoding a few distinct isoforms have been reported. [provided by RefSeq, May 2011],
关闭

在线咨询

Online consultation

  • 在线咨询
  • 技术支持

关注微信公众号

微信扫一扫立即咨询

微信扫一扫立即咨询

关闭