首页
产品中心
抗体
单克隆抗体
多克隆抗体
二抗
内参及标签抗体
ELISA试剂盒
常规法
一步法(EasyStep)
微量法(Microsample)
分子生物学
核酸提取与纯化
qPCR/RT-PCR
克隆系统
细胞代谢与生化检测
生化检测试剂盒
蛋白
重组/天然蛋白
研究方向
最新活动
技术专栏
引用文献
实验小贴士
常见问题
技术讨论
资料下载
新闻中心
公司新闻
行业新闻
产品画册
关于我们
公司介绍
客户评鉴
人才招聘
联系我们
联系订购
网站首页
产品中心
抗体
单克隆抗体
多克隆抗体
二抗
内参及标签抗体
ELISA试剂盒
常规法
一步法(EasyStep)
微量法(Microsample)
分子生物学
核酸提取与纯化
qPCR/RT-PCR
克隆系统
细胞代谢与生化检测
生化检测试剂盒
蛋白
重组/天然蛋白
研究方向
最新活动
最新活动
技术专栏
引用文献
实验小贴士
常见问题
技术讨论
资料下载
新闻中心
公司新闻
行业新闻
产品画册
关于我们
公司介绍
客户评鉴
人才招聘
联系我们
联系订购
产品中心
抗体
ELISA试剂盒
分子生物学
细胞代谢与生化检测
蛋白
PIG11 rabbit pAb
一键复制产品信息
ES3207
¥1280.00/50µL ¥1980.00/100µL
规格:
价格:
50µL
¥1280.00
100µL
¥1980.00
下载说明 ①
Overview
Product name:
PIG11 rabbit pAb
Reactivity:
Human;Rat;Mouse;
Alternative Names:
TP53I11; PIG11; Tumor protein p53-inducible protein 11; p53-induced gene 11 protein
Source:
Rabbit
Dilutions:
Western Blot: 1/500 - 1/2000. Immunohistochemistry: 1/100 - 1/300. Immunofluorescence: 1/200 - 1/1000. ELISA: 1/20000. Not yet tested in other applications.
Immunogen:
The antiserum was produced against synthesized peptide derived from human TP53I11. AA range:71-120
Storage:
-20°C/1 year
Clonality:
Polyclonal
Isotype:
IgG
Concentration:
1 mg/ml
Observed Band:
18kD
GeneID:
9537
Human Swiss-Prot No:
O14683
Cellular localization:
Membrane ; Multi-pass membrane protein .
Background:
TP53I11 (Tumor Protein P53 Inducible Protein 11) is a Protein Coding gene.
Western Blot analysis of various cells using PIG11 Polyclonal Antibody
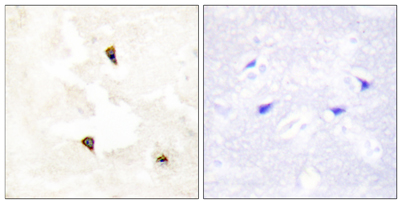
Immunohistochemistry analysis of paraffin-embedded human breast carcinoma tissue, using TP53I11 Antibody. The picture on the right is blocked with the synthesized peptide.
Western blot analysis of lysates from HUVEC cells, using TP53I11 Antibody. The lane on the right is blocked with the synthesized peptide.
关闭
在线咨询
Online consultation
在线咨询
技术支持
关注微信公众号
微信扫一扫立即咨询
微信电脑端咨询
微信扫一扫立即咨询
微信电脑端咨询
关闭