产品中心

PHF3 rabbit pAb
一键复制产品信息
ES3192
规格: 价格:
50µL ¥1280.00
100µL ¥1980.00

Overview

Product name: PHF3 rabbit pAb
Reactivity: Human;Mouse
Alternative Names: PHF3; KIAA0244; PHD finger protein 3
Source: Rabbit
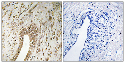
Dilutions: Western Blot: 1/500 - 1/2000. Immunohistochemistry: 1/100 - 1/300. ELISA: 1/40000. Not yet tested in other applications.
Immunogen: The antiserum was produced against synthesized peptide derived from human PHF3. AA range:1990-2039
Storage: -20°C/1 year
Clonality: Polyclonal
Isotype: IgG
Concentration: 1 mg/ml
Observed Band: 230kD
GeneID: 23469
Human Swiss-Prot No: Q92576
Background: This gene encodes a member of a PHD finger-containing gene family. This gene may function as a transcription factor and may be involved in glioblastomas development. Alternative splicing results in multiple transcript variants. [provided by RefSeq, Mar 2014],
关闭

在线咨询

Online consultation

  • 在线咨询
  • 技术支持

关注微信公众号

微信扫一扫立即咨询

微信扫一扫立即咨询

关闭