产品中心

PAI-3 rabbit pAb
一键复制产品信息
ES3144
规格: 价格:
50µL ¥1280.00
100µL ¥1980.00

Overview

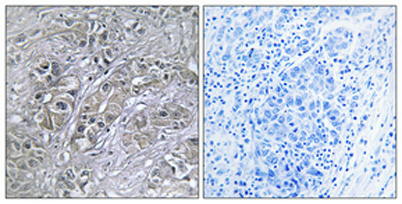
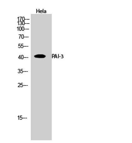
Product name: PAI-3 rabbit pAb
Reactivity: Human;Rat;Mouse;
Alternative Names: SERPINA5; PCI; PLANH3; Plasma serine protease inhibitor; Acrosomal serine protease inhibitor; Plasminogen activator inhibitor 3; PAI-3; PAI3; Protein C inhibitor; PCI; Serpin A5
Source: Rabbit
Dilutions: Western Blot: 1/500 - 1/2000. Immunohistochemistry: 1/100 - 1/300. ELISA: 1/20000. Not yet tested in other applications.
Immunogen: The antiserum was produced against synthesized peptide derived from human Serpin A5. AA range:260-309
Storage: -20°C/1 year
Clonality: Polyclonal
Isotype: IgG
Concentration: 1 mg/ml
Observed Band: 42kD
GeneID: 155698
Human Swiss-Prot No: P05154
Cellular localization: Secreted, extracellular space . Localized on the plasma membrane overlying the acrosomal head of spermatozoa of ependymal spermatozoa and ejaculated sperm. Localized at the equatorial segment of acrosome-reacted spematozoa. Localized in alpha granules in resting platelets and on the external plasma membrane and within the surface-connected cannalicular system in activated platelets.
Background: The protein encoded by this gene is a member of the serpin family of proteins, a group of proteins that inhibit serine proteases. This gene is one in a cluster of serpin genes located on the q arm of chromosome 14. This family member is a glycoprotein that can inhibit several serine proteases, including protein C and various plasminogen activators and kallikreins, and it thus plays diverse roles in hemostasis and thrombosis in multiple organs. [provided by RefSeq, Aug 2012],
关闭

在线咨询

Online consultation

  • 在线咨询
  • 技术支持

关注微信公众号

微信扫一扫立即咨询

微信扫一扫立即咨询

关闭