产品中心

ORC1 rabbit pAb
一键复制产品信息
ES3085
规格: 价格:
50µL ¥1280.00
100µL ¥1980.00

Overview

Product name: ORC1 rabbit pAb
Reactivity: Human;Rat;Mouse;
Alternative Names: ORC1; ORC1L; PARC1; Origin recognition complex subunit 1; Replication control protein 1
Source: Rabbit
Dilutions: Western Blot: 1/500 - 1/2000. ELISA: 1/5000. Not yet tested in other applications.
Immunogen: The antiserum was produced against synthesized peptide derived from human ORC1L. AA range:331-380
Storage: -20°C/1 year
Clonality: Polyclonal
Isotype: IgG
Concentration: 1 mg/ml
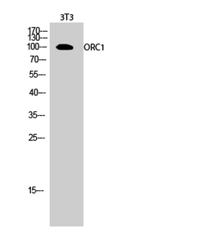
Observed Band: 100,120kD
GeneID: 4998
Human Swiss-Prot No: Q13415
Cellular localization: Nucleus.
Background: The origin recognition complex (ORC) is a highly conserved six subunits protein complex essential for the initiation of the DNA replication in eukaryotic cells. Studies in yeast demonstrated that ORC binds specifically to origins of replication and serves as a platform for the assembly of additional initiation factors such as Cdc6 and Mcm proteins. The protein encoded by this gene is the largest subunit of the ORC complex. While other ORC subunits are stable throughout the cell cycle, the levels of this protein vary during the cell cycle, which has been shown to be controlled by ubiquitin-mediated proteolysis after initiation of DNA replication. This protein is found to be selectively phosphorylated during mitosis. It is also reported to interact with MYST histone acetyltransferase 2 (MyST2/HBO1), a protein involved in control of transcription silencing. Alternatively spliced transcr
关闭

在线咨询

Online consultation

  • 在线咨询
  • 技术支持

关注微信公众号

微信扫一扫立即咨询

微信扫一扫立即咨询

关闭