产品中心

OPN rabbit pAb
一键复制产品信息
ES3083
规格: 价格:
50µL ¥1280.00
100µL ¥1980.00

Overview

Product name: OPN rabbit pAb
Reactivity: Human;Mouse;Rat
Alternative Names: SPP1; BNSP; OPN; PSEC0156; Osteopontin; Bone sialoprotein 1; Nephropontin; Secreted phosphoprotein 1; SPP-1; Urinary stone protein; Uropontin
Source: Rabbit
Dilutions: WB 1:500-2000;IHC-p 1:100-500;IF/ICC 1:100-500;ELISA 1:5000-20000
Immunogen: The antiserum was produced against synthesized peptide derived from human Osteopontin. AA range:261-310
Storage: -20°C/1 year
Clonality: Polyclonal
Isotype: IgG
Concentration: 1 mg/ml
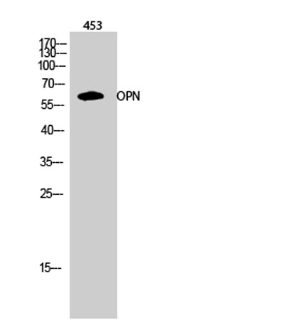
Observed Band: 60kD
GeneID: 6696
Human Swiss-Prot No: P10451
Cellular localization: Secreted.
Background: secreted phosphoprotein 1(SPP1) Homo sapiens The protein encoded by this gene is involved in the attachment of osteoclasts to the mineralized bone matrix. The encoded protein is secreted and binds hydroxyapatite with high affinity. The osteoclast vitronectin receptor is found in the cell membrane and may be involved in the binding to this protein. This protein is also a cytokine that upregulates expression of interferon-gamma and interleukin-12. Several transcript variants encoding different isoforms have been found for this gene. [provided by RefSeq, Oct 2011],
关闭

在线咨询

Online consultation

  • 在线咨询
  • 技术支持

关注微信公众号

微信扫一扫立即咨询

微信扫一扫立即咨询

关闭