产品中心

OPG rabbit pAb
一键复制产品信息
ES3082
规格: 价格:
50µL ¥1280.00
100µL ¥1980.00

Overview

Product name: OPG rabbit pAb
Reactivity: Human;Mouse
Alternative Names: TNFRSF11B; OCIF; OPG; Tumor necrosis factor receptor superfamily member 11B; Osteoclastogenesis inhibitory factor; Osteoprotegerin
Source: Rabbit
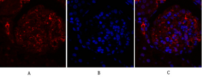
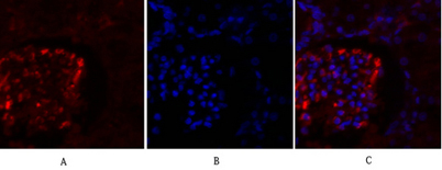
Dilutions: Western Blot: 1/500 - 1/2000. IHC-p: 1:100-300 ELISA: 1/20000. IF 1:100-300 Not yet tested in other applications.
Immunogen: The antiserum was produced against synthesized peptide derived from human TR11B . AA range:10-59
Storage: -20°C/1 year
Clonality: Polyclonal
Isotype: IgG
Concentration: 1 mg/ml
Observed Band: 55kD
GeneID: 4982
Human Swiss-Prot No: O00300
Cellular localization: Secreted.
Background: The protein encoded by this gene is a member of the TNF-receptor superfamily. This protein is an osteoblast-secreted decoy receptor that functions as a negative regulator of bone resorption. This protein specifically binds to its ligand, osteoprotegerin ligand, both of which are key extracellular regulators of osteoclast development. Studies of the mouse counterpart also suggest that this protein and its ligand play a role in lymph-node organogenesis and vascular calcification. Alternatively spliced transcript variants of this gene have been reported, but their full length nature has not been determined. [provided by RefSeq, Jul 2008],
关闭

在线咨询

Online consultation

  • 在线咨询
  • 技术支持

关注微信公众号

微信扫一扫立即咨询

微信扫一扫立即咨询

关闭