产品中心

Op18 rabbit pAb
一键复制产品信息
ES3079
规格: 价格:
50µL ¥1280.00
100µL ¥1980.00

Overview

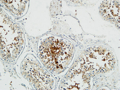
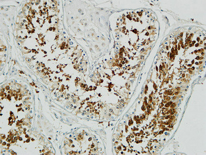
Product name: Op18 rabbit pAb
Reactivity: Human;Mouse;Rat
Alternative Names: STMN1; C1orf215; LAP18; OP18; Stathmin; Leukemia-associated phosphoprotein p18; Metablastin; Oncoprotein 18; Op18; Phosphoprotein p19; pp19; Prosolin; Protein Pr22; pp17
Source: Rabbit
Dilutions: Western Blot: 1/500 - 1/2000. Immunohistochemistry: 1/100 - 1/300. Immunofluorescence: 1/200 - 1/1000. ELISA: 1/10000. Not yet tested in other applications.
Immunogen: The antiserum was produced against synthesized peptide derived from human Stathmin 1. AA range:9-58
Storage: -20°C/1 year
Clonality: Polyclonal
Isotype: IgG
Concentration: 1 mg/ml
Observed Band: 19kD
GeneID: 3925
Human Swiss-Prot No: P16949
Cellular localization: Cytoplasm, cytoskeleton.
Background: This gene belongs to the stathmin family of genes. It encodes a ubiquitous cytosolic phosphoprotein proposed to function as an intracellular relay integrating regulatory signals of the cellular environment. The encoded protein is involved in the regulation of the microtubule filament system by destabilizing microtubules. It prevents assembly and promotes disassembly of microtubules. Multiple transcript variants encoding different isoforms have been found for this gene. [provided by RefSeq, Feb 2009],
关闭

在线咨询

Online consultation

  • 在线咨询
  • 技术支持

关注微信公众号

微信扫一扫立即咨询

微信扫一扫立即咨询

关闭