产品中心

Olfactory receptor 2M7 rabbit pAb
一键复制产品信息
ES3032
规格: 价格:
50µL ¥1280.00
100µL ¥1980.00

Overview

Product name: Olfactory receptor 2M7 rabbit pAb
Reactivity: Human;Rat;Mouse;
Alternative Names: OR2M7; Olfactory receptor 2M7; Olfactory receptor OR1-58
Source: Rabbit
Dilutions: Western Blot: 1/500 - 1/2000. Immunofluorescence: 1/200 - 1/1000. ELISA: 1/10000. Not yet tested in other applications.
Immunogen: The antiserum was produced against synthesized peptide derived from human OR2M7. AA range:241-290
Storage: -20°C/1 year
Clonality: Polyclonal
Isotype: IgG
Concentration: 1 mg/ml
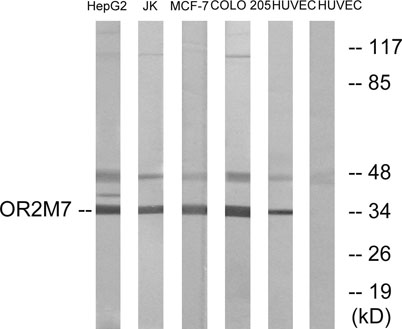
Observed Band: 34kD
GeneID: 391196
Human Swiss-Prot No: Q8NG81
Cellular localization: Cell membrane; Multi-pass membrane protein.
Background: olfactory receptor family 2 subfamily M member 7(OR2M7) Homo sapiens Olfactory receptors interact with odorant molecules in the nose, to initiate a neuronal response that triggers the perception of a smell. The olfactory receptor proteins are members of a large family of G-protein-coupled receptors (GPCR) arising from single coding-exon genes. Olfactory receptors share a 7-transmembrane domain structure with many neurotransmitter and hormone receptors and are responsible for the recognition and G protein-mediated transduction of odorant signals. The olfactory receptor gene family is the largest in the genome. The nomenclature assigned to the olfactory receptor genes and proteins for this organism is independent of other organisms. [provided by RefSeq, Jul 2008],
关闭

在线咨询

Online consultation

  • 在线咨询
  • 技术支持

关注微信公众号

微信扫一扫立即咨询

微信扫一扫立即咨询

关闭