产品中心

MRTF-A rabbit pAb
一键复制产品信息
ES2856
规格: 价格:
50µL ¥1280.00
100µL ¥1980.00

Overview

Product name: MRTF-A rabbit pAb
Reactivity: Human;Mouse
Alternative Names: MKL1; KIAA1438; MAL; MKL/myocardin-like protein 1; Megakaryoblastic leukemia 1 protein; Megakaryocytic acute leukemia protein; Myocardin-related transcription factor A; MRTF-A
Source: Rabbit
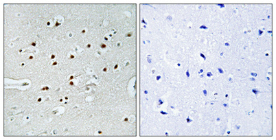
Dilutions: Western Blot: 1/500 - 1/2000. Immunohistochemistry: 1/100 - 1/300. ELISA: 1/5000. Not yet tested in other applications.
Immunogen: The antiserum was produced against synthesized peptide derived from human MKL1. AA range:10-59
Storage: -20°C/1 year
Clonality: Polyclonal
Isotype: IgG
Concentration: 1 mg/ml
Observed Band: 99kD
GeneID: 57591
Human Swiss-Prot No: Q969V6
Cellular localization: Cytoplasm . Nucleus . Subcellular location is tightly regulated by actin both in cytoplasm and nucleus: high levels of G-actin in the nucleus observed during serum deprivation lead to low levels of nuclear MRTFA, while reduced levels of nuclear G-actin result in accumulation of MRTFA in the nucleus (By similarity). G-actin-binding in the cytoplasm inhibits nuclear import by masking the nuclear localization signal (NLS) (By similarity). In contrast, binding to nuclear globular actin (G-actin) promotes nuclear export to the cytoplasm (By similarity). Nuclear localization is regulated by MICAL2, which mediates depolymerization of nuclear actin, which decreases nuclear G-actin pool, thereby promoting retention of MRTFA in the nucleus and subsequent formation of an active complex with SRF (PubM
Background: The protein encoded by this gene interacts with the transcription factor myocardin, a key regulator of smooth muscle cell differentiation. The encoded protein is predominantly nuclear and may help transduce signals from the cytoskeleton to the nucleus. This gene is involved in a specific translocation event that creates a fusion of this gene and the RNA-binding motif protein-15 gene. This translocation has been associated with acute megakaryocytic leukemia. Alternative splicing results in multiple transcript variants. [provided by RefSeq, Sep 2013],
关闭

在线咨询

Online consultation

  • 在线咨询
  • 技术支持

关注微信公众号

微信扫一扫立即咨询

微信扫一扫立即咨询

关闭