产品中心

MEK-3 rabbit pAb
一键复制产品信息
ES2773
规格: 价格:
50µL ¥1280.00
100µL ¥1980.00

Overview

Product name: MEK-3 rabbit pAb
Reactivity: Human;Mouse;Rat
Alternative Names: MAP2K3; MEK3; MKK3; PRKMK3; SKK2; Dual specificity mitogen-activated protein kinase kinase 3; MAP kinase kinase 3; MAPKK 3; MAPK/ERK kinase 3; MEK 3; Stress-activated protein kinase kinase 2; SAPK kinase 2; SAPKK-2; SAPKK2
Source: Rabbit
Dilutions: WB 1:500-2000;IHC-p 1:50-300; ELISA 2000-20000
Immunogen: The antiserum was produced against synthesized peptide derived from human MAP2K3. AA range:188-237
Storage: -20°C/1 year
Clonality: Polyclonal
Isotype: IgG
Concentration: 1 mg/ml
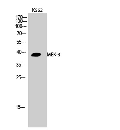
Observed Band: 39kD
GeneID: 5606
Human Swiss-Prot No: P46734
Cellular localization: nucleoplasm,cytoplasm,cytosol,membrane,
Background: The protein encoded by this gene is a dual specificity protein kinase that belongs to the MAP kinase kinase family. This kinase is activated by mitogenic and environmental stress, and participates in the MAP kinase-mediated signaling cascade. It phosphorylates and thus activates MAPK14/p38-MAPK. This kinase can be activated by insulin, and is necessary for the expression of glucose transporter. Expression of RAS oncogene is found to result in the accumulation of the active form of this kinase, which thus leads to the constitutive activation of MAPK14, and confers oncogenic transformation of primary cells. The inhibition of this kinase is involved in the pathogenesis of Yersina pseudotuberculosis. Multiple alternatively spliced transcript variants that encode distinct isoforms have been reported for this gene. [provided by RefSeq, Jul 2008],
关闭

在线咨询

Online consultation

  • 在线咨询
  • 技术支持

关注微信公众号

微信扫一扫立即咨询

微信扫一扫立即咨询

关闭