产品中心

LUC7L2 rabbit pAb
一键复制产品信息
ES2731
规格: 价格:
50µL ¥1280.00
100µL ¥1980.00

Overview

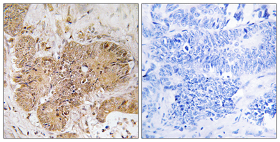
Product name: LUC7L2 rabbit pAb
Reactivity: Human;Mouse;Rat
Alternative Names: LUC7L2; CGI-59; CGI-74; Putative RNA-binding protein Luc7-like 2
Source: Rabbit
Dilutions: Western Blot: 1/500 - 1/2000. Immunohistochemistry: 1/100 - 1/300. ELISA: 1/40000. Not yet tested in other applications.
Immunogen: The antiserum was produced against synthesized peptide derived from human LUC7L2. AA range:129-178
Storage: -20°C/1 year
Clonality: Polyclonal
Isotype: IgG
Concentration: 1 mg/ml
Observed Band: 47kD
GeneID: 51631
Human Swiss-Prot No: Q9Y383
Cellular localization: Nucleus speckle . Nucleus, nucleoplasm . Colocalizes with SCNM1 and SNRNP70 in nuclear speckles. .
Background: This gene encodes a protein that contains a C2H2-type zinc finger, coiled-coil region and arginine, serine-rich (RS) domain. A similar protein in mouse interacts with sodium channel modifier 1, and the encoded protein may be involved in the recognition of non-consensus splice donor sites in association with the U1 snRNP spliceosomal subunit. Alternatively spliced transcript variants encoding multiple isoforms have been observed for this gene. [provided by RefSeq, Sep 2011],
关闭

在线咨询

Online consultation

  • 在线咨询
  • 技术支持

关注微信公众号

微信扫一扫立即咨询

微信扫一扫立即咨询

关闭