首页
产品中心
抗体
单克隆抗体
多克隆抗体
二抗
内参及标签抗体
ELISA试剂盒
常规法
一步法(EasyStep)
高敏法(High Sensitivity)
微量法(Microsample)
分子生物学
核酸提取与纯化
qPCR/RT-PCR
克隆系统
细胞代谢与生化检测
生化检测试剂盒
蛋白
重组/天然蛋白
研究方向
最新活动
技术专栏
引用文献
实验小贴士
常见问题
技术讨论
资料下载
新闻中心
公司新闻
行业新闻
产品画册
关于我们
公司介绍
客户评鉴
人才招聘
联系我们
联系订购
网站首页
产品中心
抗体
单克隆抗体
多克隆抗体
二抗
内参及标签抗体
ELISA试剂盒
常规法
一步法(EasyStep)
高敏法(High Sensitivity)
微量法(Microsample)
分子生物学
核酸提取与纯化
qPCR/RT-PCR
克隆系统
细胞代谢与生化检测
生化检测试剂盒
蛋白
重组/天然蛋白
研究方向
最新活动
最新活动
技术专栏
引用文献
实验小贴士
常见问题
技术讨论
资料下载
新闻中心
公司新闻
行业新闻
产品画册
关于我们
公司介绍
客户评鉴
人才招聘
联系我们
联系订购
产品中心
抗体
ELISA试剂盒
分子生物学
细胞代谢与生化检测
蛋白
LDLRAD1 rabbit pAb
一键复制产品信息
ES2706
¥1280.00/50µL ¥1980.00/100µL
规格:
价格:
50µL
¥1280.00
100µL
¥1980.00
下载说明 ①
Overview
Product name:
LDLRAD1 rabbit pAb
Reactivity:
Human;Rat;Mouse;
Alternative Names:
LDLRAD1; Low-density lipoprotein receptor class A domain-containing protein 1
Source:
Rabbit
Dilutions:
WB 1:500-2000;IHC-p 1:50-300; ELISA 2000-20000
Immunogen:
The antiserum was produced against synthesized peptide derived from human LDLRAD1. AA range:84-133
Storage:
-20°C/1 year
Clonality:
Polyclonal
Isotype:
IgG
Concentration:
1 mg/ml
Observed Band:
26kD
GeneID:
388633
Human Swiss-Prot No:
Q5T700
Cellular localization:
Membrane ; Single-pass membrane protein .
Background:
similarity:Belongs to the LDLR family.,similarity:Contains 3 LDL-receptor class A domains.,
Western Blot analysis of various cells using LDLRAD1 Polyclonal Antibody
Western blot analysis of lysates from Jurkat and HepG2 cells, using LDLRAD1 Antibody. The lane on the right is blocked with the synthesized peptide.
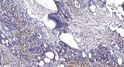
Immunohistochemical analysis of paraffin-embedded human Gastric adenocarcinoma. 1, Antibody was diluted at 1:200(4° overnight). 2, Tris-EDTA,pH9.0 was used for antigen retrieval. 3,Secondary antibody was diluted at 1:200(room temperature, 45min).
关闭
在线咨询
Online consultation
在线咨询
技术支持
关注微信公众号
微信扫一扫立即咨询
微信电脑端咨询
微信扫一扫立即咨询
微信电脑端咨询
关闭