产品中心

Lamin B1 rabbit pAb
一键复制产品信息
ES2697
规格: 价格:
50µL ¥1280.00
100µL ¥1980.00

Overview

Product name: Lamin B1 rabbit pAb
Reactivity: Human;Mouse;Rat
Alternative Names: LMNB1; LMN2; LMNB; Lamin-B1
Source: Rabbit
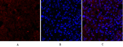
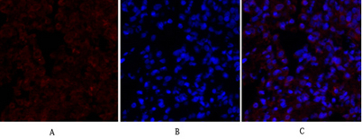
Dilutions: IF: 1:50-200 Western Blot: 1/500 - 1/2000. Immunohistochemistry: 1/100 - 1/300. ELISA: 1/40000. Not yet tested in other applications.
Immunogen: The antiserum was produced against synthesized peptide derived from human Lamin B1. AA range:26-75
Storage: -20°C/1 year
Clonality: Polyclonal
Isotype: IgG
Concentration: 1 mg/ml
Observed Band: 67kD
GeneID: 4001
Human Swiss-Prot No: P20700
Cellular localization: Nucleus lamina .
Background: lamin B1(LMNB1) Homo sapiens This gene encodes one of the two B-type lamin proteins and is a component of the nuclear lamina. A duplication of this gene is associated with autosomal dominant adult-onset leukodystrophy (ADLD). Alternative splicing results in multiple transcript variants. [provided by RefSeq, Dec 2015],
关闭

在线咨询

Online consultation

  • 在线咨询
  • 技术支持

关注微信公众号

微信扫一扫立即咨询

微信扫一扫立即咨询

关闭