产品中心

KVβ.3 rabbit pAb
一键复制产品信息
ES2693
规格: 价格:
50µL ¥1280.00
100µL ¥1980.00

Overview

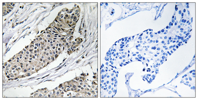
Product name: KVβ.3 rabbit pAb
Reactivity: Human;Mouse;Rat
Alternative Names: KCNAB3; KCNA3B; Voltage-gated potassium channel subunit beta-3; K(+) channel subunit beta-3; Kv-beta-3
Source: Rabbit
Dilutions: Western Blot: 1/500 - 1/2000. Immunohistochemistry: 1/100 - 1/300. ELISA: 1/10000. Not yet tested in other applications.
Immunogen: The antiserum was produced against synthesized peptide derived from human KCNAB3. AA range:293-342
Storage: -20°C/1 year
Clonality: Polyclonal
Isotype: IgG
Concentration: 1 mg/ml
Observed Band: 45kD
GeneID: 9196
Human Swiss-Prot No: O43448
Cellular localization: Cytoplasm .
Background: This gene encodes a member of the potassium channel, voltage-gated, shaker-related subfamily. The encoded protein is one of the beta subunits, which are auxiliary proteins associating with functional Kv-alpha subunits. The encoded protein forms a heterodimer with the potassium voltage-gated channel, shaker-related subfamily, member 5 gene product and regulates the activity of the alpha subunit. [provided by RefSeq, May 2012],
关闭

在线咨询

Online consultation

  • 在线咨询
  • 技术支持

关注微信公众号

微信扫一扫立即咨询

微信扫一扫立即咨询

关闭