产品中心

KV3.1 rabbit pAb
一键复制产品信息
ES2689
规格: 价格:
50µL ¥1280.00
100µL ¥1980.00

Overview

Product name: KV3.1 rabbit pAb
Reactivity: Human;Mouse;Rat
Alternative Names: KCNC1; Potassium voltage-gated channel subfamily C member 1; NGK2; Voltage-gated potassium channel subunit Kv3.1; Voltage-gated potassium channel subunit Kv4
Source: Rabbit
Dilutions: Western Blot: 1/500 - 1/2000. Immunohistochemistry: 1/100 - 1/300. ELISA: 1/5000. Not yet tested in other applications.
Immunogen: Synthesized peptide derived from KV3.1 . at AA range: 190-270
Storage: -20°C/1 year
Clonality: Polyclonal
Isotype: IgG
Concentration: 1 mg/ml
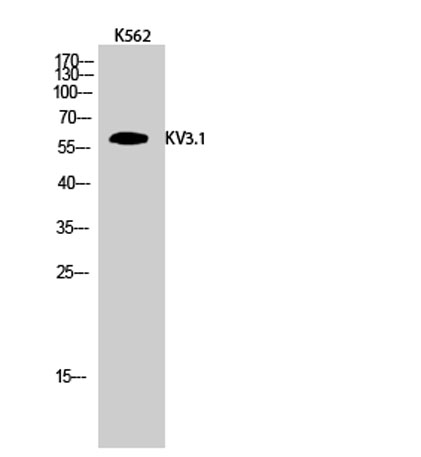
Observed Band: 60kD
GeneID: 3746
Human Swiss-Prot No: P48547
Cellular localization: Cell membrane ; Multi-pass membrane protein . Cell projection, axon . Cell junction, synapse, presynaptic cell membrane . Localizes in parallel fiber membranes, distributed on the perisynaptic and extrasynaptic membranes away from the active zones. .
Background: This gene encodes a member of a family of integral membrane proteins that mediate the voltage-dependent potassium ion permeability of excitable membranes. Alternative splicing is thought to result in two transcript variants encoding isoforms that differ at their C-termini. These isoforms have had conflicting names in the literature: the longer isoform has been called both "b" and "alpha", while the shorter isoform has been called both "a" and "beta" (PMIDs 1432046, 12091563). [provided by RefSeq, Oct 2014],
关闭

在线咨询

Online consultation

  • 在线咨询
  • 技术支持

关注微信公众号

微信扫一扫立即咨询

微信扫一扫立即咨询

关闭