产品中心

JAK2 rabbit pAb
一键复制产品信息
ES2656
规格: 价格:
50µL ¥1280.00
100µL ¥1980.00

Overview

Product name: JAK2 rabbit pAb
Reactivity: Human;Mouse;Rat
Alternative Names: JAK2; Tyrosine-protein kinase JAK2; Janus kinase 2; JAK-2
Source: Rabbit
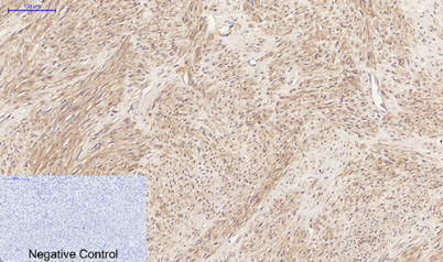
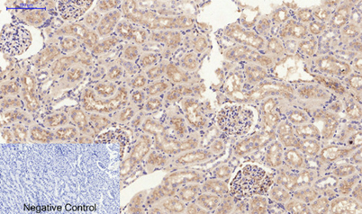
Dilutions: IF: 1:50-200 Western Blot: 1/500 - 1/2000. Immunohistochemistry: 1/100 - 1/300. ELISA: 1/10000. Not yet tested in other applications.
Immunogen: The antiserum was produced against synthesized peptide derived from human JAK2. AA range:981-1030
Storage: -20°C/1 year
Clonality: Polyclonal
Isotype: IgG
Concentration: 1 mg/ml
Observed Band: 130kD
GeneID: 3717
Human Swiss-Prot No: O60674
Cellular localization: Endomembrane system ; Peripheral membrane protein . Cytoplasm . Nucleus .
Background: This gene product is a protein tyrosine kinase involved in a specific subset of cytokine receptor signaling pathways. It has been found to be constituitively associated with the prolactin receptor and is required for responses to gamma interferon. Mice that do not express an active protein for this gene exhibit embryonic lethality associated with the absence of definitive erythropoiesis. [provided by RefSeq, Jul 2008],
关闭

在线咨询

Online consultation

  • 在线咨询
  • 技术支持

关注微信公众号

微信扫一扫立即咨询

微信扫一扫立即咨询

关闭