产品中心

JAB1 rabbit pAb
一键复制产品信息
ES2654
规格: 价格:
50µL ¥1280.00
100µL ¥1980.00

Overview

Product name: JAB1 rabbit pAb
Reactivity: Human;Mouse
Alternative Names: COPS5; CSN5; JAB1; COP9 signalosome complex subunit 5; SGN5; Signalosome subunit 5; Jun activation domain-binding protein 1
Source: Rabbit
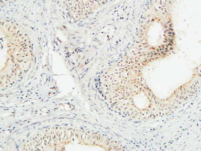
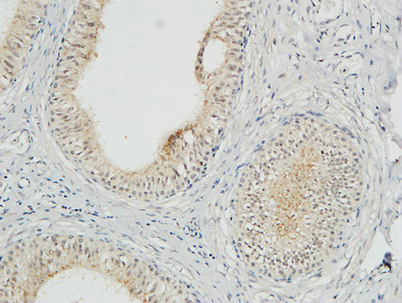
Dilutions: Western Blot: 1/500 - 1/2000. Immunohistochemistry: 1/100 - 1/300. ELISA: 1/5000. Not yet tested in other applications.
Immunogen: The antiserum was produced against synthesized peptide derived from human COPS5. AA range:161-210
Storage: -20°C/1 year
Clonality: Polyclonal
Isotype: IgG
Concentration: 1 mg/ml
Observed Band: 38kD
GeneID: 10987
Human Swiss-Prot No: Q92905
Cellular localization: Cytoplasm, cytosol . Nucleus . Cytoplasm, perinuclear region . Cytoplasmic vesicle, secretory vesicle, synaptic vesicle . Nuclear localization is diminished in the presence of IFIT3. .
Background: The protein encoded by this gene is one of the eight subunits of COP9 signalosome, a highly conserved protein complex that functions as an important regulator in multiple signaling pathways. The structure and function of COP9 signalosome is similar to that of the 19S regulatory particle of 26S proteasome. COP9 signalosome has been shown to interact with SCF-type E3 ubiquitin ligases and act as a positive regulator of E3 ubiquitin ligases. This protein is reported to be involved in the degradation of cyclin-dependent kinase inhibitor CDKN1B/p27Kip1. It is also known to be an coactivator that increases the specificity of JUN/AP1 transcription factors. [provided by RefSeq, Jul 2008],
关闭

在线咨询

Online consultation

  • 在线咨询
  • 技术支持

关注微信公众号

微信扫一扫立即咨询

微信扫一扫立即咨询

关闭