首页
产品中心
抗体
单克隆抗体
多克隆抗体
二抗
内参及标签抗体
ELISA试剂盒
常规法
一步法(EasyStep)
微量法(Microsample)
分子生物学
核酸提取与纯化
qPCR/RT-PCR
克隆系统
细胞代谢与生化检测
生化检测试剂盒
蛋白
重组/天然蛋白
研究方向
最新活动
技术专栏
引用文献
实验小贴士
常见问题
技术讨论
资料下载
新闻中心
公司新闻
行业新闻
产品画册
关于我们
公司介绍
客户评鉴
人才招聘
联系我们
联系订购
网站首页
产品中心
抗体
单克隆抗体
多克隆抗体
二抗
内参及标签抗体
ELISA试剂盒
常规法
一步法(EasyStep)
微量法(Microsample)
分子生物学
核酸提取与纯化
qPCR/RT-PCR
克隆系统
细胞代谢与生化检测
生化检测试剂盒
蛋白
重组/天然蛋白
研究方向
最新活动
最新活动
技术专栏
引用文献
实验小贴士
常见问题
技术讨论
资料下载
新闻中心
公司新闻
行业新闻
产品画册
关于我们
公司介绍
客户评鉴
人才招聘
联系我们
联系订购
产品中心
抗体
ELISA试剂盒
分子生物学
细胞代谢与生化检测
蛋白
IRS-1 rabbit pAb
一键复制产品信息
ES2646
¥1280.00/50µL ¥1980.00/100µL
规格:
价格:
50µL
¥1280.00
100µL
¥1980.00
下载说明 ①
Overview
Product name:
IRS-1 rabbit pAb
Reactivity:
Human;Mouse;Rat;Pig
Alternative Names:
IRS1; Insulin receptor substrate 1; IRS-1
Source:
Rabbit
Dilutions:
Western Blot: 1/500 - 1/2000. Immunohistochemistry: 1/100 - 1/300. Immunofluorescence: 1/200 - 1/1000. ELISA: 1/20000. Not yet tested in other applications.
Immunogen:
The antiserum was produced against synthesized peptide derived from human IRS-1. AA range:603-652
Storage:
-20°C/1 year
Clonality:
Polyclonal
Isotype:
IgG
Concentration:
1 mg/ml
Observed Band:
170kD
GeneID:
3667
Human Swiss-Prot No:
P35568
Cellular localization:
nucleus,cytoplasm,cytosol,plasma membrane,insulin receptor complex,caveola,intracellular membrane-bounded organelle,
Background:
This gene encodes a protein which is phosphorylated by insulin receptor tyrosine kinase. Mutations in this gene are associated with type II diabetes and susceptibility to insulin resistance. [provided by RefSeq, Nov 2009],
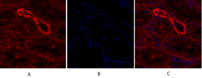
Immunofluorescence analysis of human-lung tissue. 1,IRS-1 Polyclonal Antibody(red) was diluted at 1:200(4°C,overnight). 2, Cy3 labled Secondary antibody was diluted at 1:300(room temperature, 50min).3, Picture B: DAPI(blue) 10min. Picture A:Target. Pictur
Immunofluorescence analysis of human-lung tissue. 1,IRS-1 Polyclonal Antibody(red) was diluted at 1:200(4°C,overnight). 2, Cy3 labled Secondary antibody was diluted at 1:300(room temperature, 50min).3, Picture B: DAPI(blue) 10min. Picture A:Target. Pictur
Immunofluorescence analysis of rat-kidney tissue. 1,IRS-1 Polyclonal Antibody(red) was diluted at 1:200(4°C,overnight). 2, Cy3 labled Secondary antibody was diluted at 1:300(room temperature, 50min).3, Picture B: DAPI(blue) 10min. Picture A:Target. Pictur
Immunofluorescence analysis of rat-kidney tissue. 1,IRS-1 Polyclonal Antibody(red) was diluted at 1:200(4°C,overnight). 2, Cy3 labled Secondary antibody was diluted at 1:300(room temperature, 50min).3, Picture B: DAPI(blue) 10min. Picture A:Target. Pictur
关闭
在线咨询
Online consultation
在线咨询
技术支持
关注微信公众号
微信扫一扫立即咨询
微信电脑端咨询
微信扫一扫立即咨询
微信电脑端咨询
关闭