首页
产品中心
抗体
单克隆抗体
多克隆抗体
二抗
内参及标签抗体
ELISA试剂盒
常规法
一步法(EasyStep)
高敏法(High Sensitivity)
微量法(Microsample)
分子生物学
核酸提取与纯化
qPCR/RT-PCR
克隆系统
细胞代谢与生化检测
生化检测试剂盒
蛋白
重组/天然蛋白
研究方向
最新活动
技术专栏
引用文献
实验小贴士
常见问题
技术讨论
资料下载
新闻中心
公司新闻
行业新闻
产品画册
关于我们
公司介绍
客户评鉴
人才招聘
联系我们
联系订购
网站首页
产品中心
抗体
单克隆抗体
多克隆抗体
二抗
内参及标签抗体
ELISA试剂盒
常规法
一步法(EasyStep)
高敏法(High Sensitivity)
微量法(Microsample)
分子生物学
核酸提取与纯化
qPCR/RT-PCR
克隆系统
细胞代谢与生化检测
生化检测试剂盒
蛋白
重组/天然蛋白
研究方向
最新活动
最新活动
技术专栏
引用文献
实验小贴士
常见问题
技术讨论
资料下载
新闻中心
公司新闻
行业新闻
产品画册
关于我们
公司介绍
客户评鉴
人才招聘
联系我们
联系订购
产品中心
抗体
ELISA试剂盒
分子生物学
细胞代谢与生化检测
蛋白
IQGAP3 rabbit pAb
一键复制产品信息
ES2640
¥1280.00/50µL ¥1980.00/100µL
规格:
价格:
50µL
¥1280.00
100µL
¥1980.00
下载说明 ①
Overview
Product name:
IQGAP3 rabbit pAb
Reactivity:
Human;Mouse;Rat
Alternative Names:
IQGAP3; Ras GTPase-activating-like protein IQGAP3
Source:
Rabbit
Dilutions:
WB 1:500-2000;IHC-p 1:50-300; ELISA 2000-20000
Immunogen:
The antiserum was produced against synthesized peptide derived from human IQGAP3. AA range:107-156
Storage:
-20°C/1 year
Clonality:
Polyclonal
Isotype:
IgG
Concentration:
1 mg/ml
Observed Band:
180kD
GeneID:
128239
Human Swiss-Prot No:
Q86VI3
Cellular localization:
cytosol,cell-cell junction,lateral plasma membrane,
Background:
similarity:Contains 1 CH (calponin-homology) domain.,similarity:Contains 1 Ras-GAP domain.,similarity:Contains 4 IQ domains.,
Western Blot analysis of various cells using IQGAP3 Polyclonal Antibody diluted at 1:1000
Western blot analysis of the lysates from 293 cells using IQGAP3 antibody.
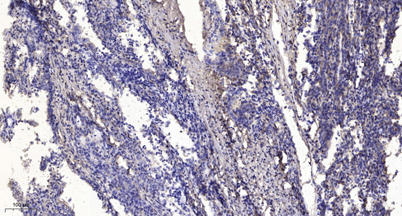
Immunohistochemical analysis of paraffin-embedded human Gastric adenocarcinoma. 1, Antibody was diluted at 1:200(4° overnight). 2, Tris-EDTA,pH9.0 was used for antigen retrieval. 3,Secondary antibody was diluted at 1:200(room temperature, 45min).
关闭
在线咨询
Online consultation
在线咨询
技术支持
关注微信公众号
微信扫一扫立即咨询
微信电脑端咨询
微信扫一扫立即咨询
微信电脑端咨询
关闭