产品中心

IL-13Rα1 rabbit pAb
一键复制产品信息
ES2608
规格: 价格:
50µL ¥1280.00
100µL ¥1980.00

Overview

Product name: IL-13Rα1 rabbit pAb
Reactivity: Human;Mouse;Rat
Alternative Names: IL13RA1; IL13R; IL13RA; Interleukin-13 receptor subunit alpha-1; IL-13 receptor subunit alpha-1; IL-13R subunit alpha-1; IL-13R-alpha-1; IL-13RA1; Cancer/testis antigen 19; CT19; CD antigen CD213a1
Source: Rabbit
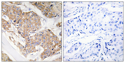
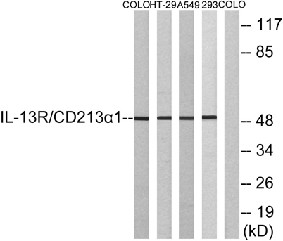
Dilutions: Western Blot: 1/500 - 1/2000. Immunohistochemistry: 1/100 - 1/300. Immunofluorescence: 1/200 - 1/1000. ELISA: 1/10000. Not yet tested in other applications.
Immunogen: The antiserum was produced against synthesized peptide derived from human IL-13R/CD213 alpha1. AA range:371-420
Storage: -20°C/1 year
Clonality: Polyclonal
Isotype: IgG
Concentration: 1 mg/ml
Observed Band: 49kD
GeneID: 3597
Human Swiss-Prot No: P78552
Cellular localization: Membrane; Single-pass type I membrane protein.
Background: The protein encoded by this gene is a subunit of the interleukin 13 receptor. This subunit forms a receptor complex with IL4 receptor alpha, a subunit shared by IL13 and IL4 receptors. This subunit serves as a primary IL13-binding subunit of the IL13 receptor, and may also be a component of IL4 receptors. This protein has been shown to bind tyrosine kinase TYK2, and thus may mediate the signaling processes that lead to the activation of JAK1, STAT3 and STAT6 induced by IL13 and IL4. [provided by RefSeq, Jul 2008],
关闭

在线咨询

Online consultation

  • 在线咨询
  • 技术支持

关注微信公众号

微信扫一扫立即咨询

微信扫一扫立即咨询

关闭