产品中心

HSP70L rabbit pAb
一键复制产品信息
ES2575
规格: 价格:
50µL ¥1280.00
100µL ¥1980.00

Overview

Product name: HSP70L rabbit pAb
Reactivity: Human;Mouse;Rat
Alternative Names: HSPA1L; Heat shock 70 kDa protein 1-like; Heat shock 70 kDa protein 1L; Heat shock 70 kDa protein 1-Hom; HSP70-Hom; HSPA1A; HSPA1; HSPA1B; Heat shock 70 kDa protein 1A/1B; Heat shock 70 kDa protein 1/2; HSP70-1/HSP70-2; HSP70.1/HSP70.2
Source: Rabbit
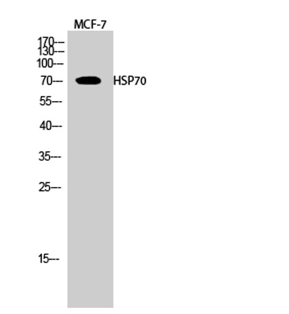
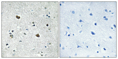
Dilutions: Western Blot: 1/500 - 1/2000. Immunohistochemistry: 1/100 - 1/300. ELISA: 1/40000. Not yet tested in other applications.
Immunogen: The antiserum was produced against synthesized peptide derived from human HSPA1L. AA range:221-270
Storage: -20°C/1 year
Clonality: Polyclonal
Isotype: IgG
Concentration: 1 mg/ml
Observed Band: 70kD
GeneID: 3305/3303/3304
Human Swiss-Prot No: P34931/P08107
Cellular localization: zona pellucida receptor complex,nucleoplasm,mitochondrial matrix,cytosol,COP9 signalosome,cell body,blood microparticle,
Background: This gene encodes a 70kDa heat shock protein. In conjunction with other heat shock proteins, this protein stabilizes existing proteins against aggregation and mediates the folding of newly translated proteins in the cytosol and in organelles. The gene is located in the major histocompatibility complex class III region, in a cluster with two closely related genes which also encode isoforms of the 70kDa heat shock protein. [provided by RefSeq, Jul 2008],
关闭

在线咨询

Online consultation

  • 在线咨询
  • 技术支持

关注微信公众号

微信扫一扫立即咨询

微信扫一扫立即咨询

关闭