产品中心

hnRNP A2/B1 rabbit pAb
一键复制产品信息
ES2545
规格: 价格:
50µL ¥1280.00
100µL ¥1980.00

Overview

Product name: hnRNP A2/B1 rabbit pAb
Reactivity: Human;Mouse
Alternative Names: HNRNPA2B1; HNRPA2B1; Heterogeneous nuclear ribonucleoproteins A2/B1; hnRNP A2/B1
Source: Rabbit
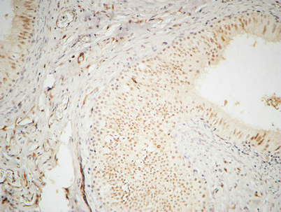
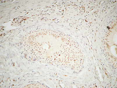
Dilutions: Western Blot: 1/500 - 1/2000. Immunohistochemistry: 1/100 - 1/300. Immunofluorescence: 1/200 - 1/1000. ELISA: 1/20000. Not yet tested in other applications.
Immunogen: The antiserum was produced against synthesized peptide derived from human hnRNP A2/B1. AA range:1-50
Storage: -20°C/1 year
Clonality: Polyclonal
Isotype: IgG
Concentration: 1 mg/ml
Observed Band: 36+38kD
GeneID: 3181
Human Swiss-Prot No: P22626
Cellular localization: Nucleus . Nucleus, nucleoplasm . Cytoplasm . Cytoplasmic granule . Secreted, extracellular exosome . Localized in cytoplasmic mRNP granules containing untranslated mRNAs (PubMed:17289661). Component of ribonucleosomes (PubMed:17289661). Not found in the nucleolus (PubMed:17289661). Found in exosomes following sumoylation (PubMed:24356509). .; [Isoform A2]: Nucleus . Cytoplasm . Predominantly nucleoplasmic, however is also found in the cytoplasm of cells in some tissues (PubMed:17289661). .
Background: This gene belongs to the A/B subfamily of ubiquitously expressed heterogeneous nuclear ribonucleoproteins (hnRNPs). The hnRNPs are RNA binding proteins and they complex with heterogeneous nuclear RNA (hnRNA). These proteins are associated with pre-mRNAs in the nucleus and appear to influence pre-mRNA processing and other aspects of mRNA metabolism and transport. While all of the hnRNPs are present in the nucleus, some seem to shuttle between the nucleus and the cytoplasm. The hnRNP proteins have distinct nucleic acid binding properties. The protein encoded by this gene has two repeats of quasi-RRM domains that bind to RNAs. This gene has been described to generate two alternatively spliced transcript variants which encode different isoforms. [provided by RefSeq, Jul 2008],
关闭

在线咨询

Online consultation

  • 在线咨询
  • 技术支持

关注微信公众号

微信扫一扫立即咨询

微信扫一扫立即咨询

关闭