产品中心

HDAC1 rabbit pAb
一键复制产品信息
ES2498
规格: 价格:
50µL ¥1280.00
100µL ¥1980.00

Overview

Product name: HDAC1 rabbit pAb
Reactivity: Human;Mouse;Rat
Alternative Names: HDAC1; RPD3L1; Histone deacetylase 1; HD1
Source: Rabbit
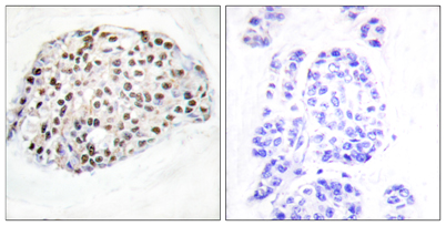
Dilutions: Western Blot: 1/500 - 1/2000. Immunohistochemistry: 1/100 - 1/300. ELISA: 1/5000. Not yet tested in other applications.
Immunogen: The antiserum was produced against synthesized peptide derived from human HDAC1. AA range:387-436
Storage: -20°C/1 year
Clonality: Polyclonal
Isotype: IgG
Concentration: 1 mg/ml
Observed Band: 55kD
GeneID: 3065
Human Swiss-Prot No: Q13547
Cellular localization: Nucleus .
Background: Histone acetylation and deacetylation, catalyzed by multisubunit complexes, play a key role in the regulation of eukaryotic gene expression. The protein encoded by this gene belongs to the histone deacetylase/acuc/apha family and is a component of the histone deacetylase complex. It also interacts with retinoblastoma tumor-suppressor protein and this complex is a key element in the control of cell proliferation and differentiation. Together with metastasis-associated protein-2, it deacetylates p53 and modulates its effect on cell growth and apoptosis. [provided by RefSeq, Jul 2008],
关闭

在线咨询

Online consultation

  • 在线咨询
  • 技术支持

关注微信公众号

微信扫一扫立即咨询

微信扫一扫立即咨询

关闭