产品中心

GTBP rabbit pAb
一键复制产品信息
ES2489
规格: 价格:
50µL ¥1280.00
100µL ¥1980.00

Overview

Product name: GTBP rabbit pAb
Reactivity: Human;Mouse;Monkey
Alternative Names: MSH6; GTBP; DNA mismatch repair protein Msh6; hMSH6; G/T mismatch-binding protein; GTBP; GTMBP; MutS-alpha 160 kDa subunit; p160
Source: Rabbit
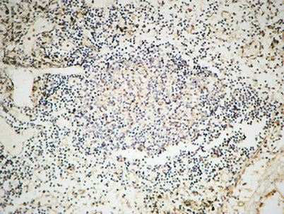
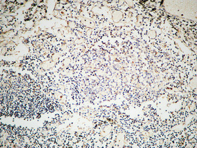
Dilutions: Western Blot: 1/500 - 1/2000. Immunohistochemistry: 1/100 - 1/300. Immunofluorescence: 1/200 - 1/1000. ELISA: 1/20000. Not yet tested in other applications.
Immunogen: The antiserum was produced against synthesized peptide derived from human MSH6. AA range:341-390
Storage: -20°C/1 year
Clonality: Polyclonal
Isotype: IgG
Concentration: 1 mg/ml
Observed Band: 170kD
GeneID: 2956
Human Swiss-Prot No: P52701
Cellular localization: Nucleus . Chromosome . Associates with H3K36me3 via its PWWP domain.
Background: This gene encodes a member of the DNA mismatch repair MutS family. In E. coli, the MutS protein helps in the recognition of mismatched nucleotides prior to their repair. A highly conserved region of approximately 150 aa, called the Walker-A adenine nucleotide binding motif, exists in MutS homologs. The encoded protein heterodimerizes with MSH2 to form a mismatch recognition complex that functions as a bidirectional molecular switch that exchanges ADP and ATP as DNA mismatches are bound and dissociated. Mutations in this gene may be associated with hereditary nonpolyposis colon cancer, colorectal cancer, and endometrial cancer. Transcripts variants encoding different isoforms have been described. [provided by RefSeq, Jul 2013],
关闭

在线咨询

Online consultation

  • 在线咨询
  • 技术支持

关注微信公众号

微信扫一扫立即咨询

微信扫一扫立即咨询

关闭