产品中心

GRB10 rabbit pAb
一键复制产品信息
ES2472
规格: 价格:
50µL ¥1280.00
100µL ¥1980.00

Overview

Product name: GRB10 rabbit pAb
Reactivity: Human;Rat;Mouse;
Alternative Names: GRB10; GRBIR; KIAA0207; Growth factor receptor-bound protein 10; GRB10 adapter protein; Insulin receptor-binding protein Grb-IR
Source: Rabbit
Dilutions: Western Blot: 1/500 - 1/2000. Immunohistochemistry: 1/100 - 1/300. Immunofluorescence: 1/200 - 1/1000. ELISA: 1/5000. Not yet tested in other applications.
Immunogen: The antiserum was produced against synthesized peptide derived from human GRB10. AA range:33-82
Storage: -20°C/1 year
Clonality: Polyclonal
Isotype: IgG
Concentration: 1 mg/ml
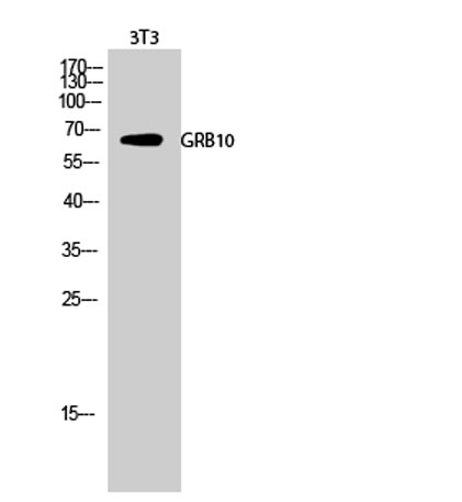
Observed Band: 67kD
GeneID: 2887
Human Swiss-Prot No: Q13322
Cellular localization: Cytoplasm . When complexed with NEDD4 and IGF1R, follows IGF1R internalization, remaining associated with early endosomes. Uncouples from IGF1R-containing endosomes before the sorting of the receptor to the lysosomal compartment (By similarity). .
Background: The product of this gene belongs to a small family of adapter proteins that are known to interact with a number of receptor tyrosine kinases and signaling molecules. This gene encodes a growth factor receptor-binding protein that interacts with insulin receptors and insulin-like growth-factor receptors. Overexpression of some isoforms of the encoded protein inhibits tyrosine kinase activity and results in growth suppression. This gene is imprinted in a highly isoform- and tissue-specific manner, with expression observed from the paternal allele in the brain, and from the maternal allele in the placental trophoblasts. Alternatively spliced transcript variants encoding different isoforms have been identified. [provided by RefSeq, Oct 2010],
关闭

在线咨询

Online consultation

  • 在线咨询
  • 技术支持

关注微信公众号

微信扫一扫立即咨询

微信扫一扫立即咨询

关闭