产品中心

Glut1 rabbit pAb
一键复制产品信息
ES2438
规格: 价格:
50µL ¥1280.00
100µL ¥1980.00

Overview

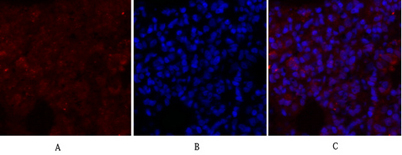
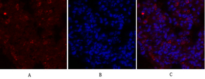
Product name: Glut1 rabbit pAb
Reactivity: Human;Mouse;Rat
Alternative Names: SLC2A1; GLUT1; Solute carrier family 2; facilitated glucose transporter member 1; Glucose transporter type 1, erythrocyte/brain; GLUT-1; HepG2 glucose transporter
Source: Rabbit
Dilutions: IF: 1:50-200 Western Blot: 1/500 - 1/2000. Immunohistochemistry: 1/100 - 1/300. ELISA: 1/40000. Not yet tested in other applications.
Immunogen: The antiserum was produced against synthesized peptide derived from human GLUT1. AA range:441-490
Storage: -20°C/1 year
Clonality: Polyclonal
Isotype: IgG
Concentration: 1 mg/ml
Observed Band: 55kD
GeneID: 6513
Human Swiss-Prot No: P11166
Cellular localization: Cell membrane ; Multi-pass membrane protein . Melanosome . Photoreceptor inner segment . Localizes primarily at the cell surface (PubMed:18245775, PubMed:19449892, PubMed:23219802, PubMed:25982116, PubMed:24847886). Identified by mass spectrometry in melanosome fractions from stage I to stage IV (PubMed:17081065). .
Background: This gene encodes a major glucose transporter in the mammalian blood-brain barrier. The encoded protein is found primarily in the cell membrane and on the cell surface, where it can also function as a receptor for human T-cell leukemia virus (HTLV) I and II. Mutations in this gene have been found in a family with paroxysmal exertion-induced dyskinesia. [provided by RefSeq, Apr 2013],
关闭

在线咨询

Online consultation

  • 在线咨询
  • 技术支持

关注微信公众号

微信扫一扫立即咨询

微信扫一扫立即咨询

关闭