产品中心

GDF-9 rabbit pAb
一键复制产品信息
ES2419
规格: 价格:
50µL ¥1280.00
100µL ¥1980.00

Overview

Product name: GDF-9 rabbit pAb
Reactivity: Human;Rat;Mouse;
Alternative Names: GDF9; Growth/differentiation factor 9; GDF-9
Source: Rabbit
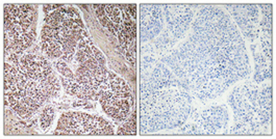
Dilutions: Western Blot: 1/500 - 1/2000. Immunohistochemistry: 1/100 - 1/300. ELISA: 1/10000. Not yet tested in other applications.
Immunogen: The antiserum was produced against synthesized peptide derived from human GDF-9. AA range:273-322
Storage: -20°C/1 year
Clonality: Polyclonal
Isotype: IgG
Concentration: 1 mg/ml
Observed Band: 57kD
GeneID: 2661
Human Swiss-Prot No: O60383
Cellular localization: Secreted .
Background: This gene encodes a secreted ligand of the TGF-beta (transforming growth factor-beta) superfamily of proteins. Ligands of this family bind various TGF-beta receptors leading to recruitment and activation of SMAD family transcription factors that regulate gene expression. The encoded preproprotein is proteolytically processed to generate each subunit of the disulfide-linked homodimer. This protein regulates ovarian function. Reduced expression of this gene may be associated with polycystic ovary syndrome and mutations in this gene may be more common in mothers of dizygotic twins. [provided by RefSeq, Jul 2016],
关闭

在线咨询

Online consultation

  • 在线咨询
  • 技术支持

关注微信公众号

微信扫一扫立即咨询

微信扫一扫立即咨询

关闭