产品中心

GATA-1 rabbit pAb
一键复制产品信息
ES2401
规格: 价格:
50µL ¥1280.00
100µL ¥1980.00

Overview

Product name: GATA-1 rabbit pAb
Reactivity: Human;Mouse;Rat
Alternative Names: GATA1; ERYF1; GF1; Erythroid transcription factor; Eryf1; GATA-binding factor 1; GATA-1; GF-1; NF-E1 DNA-binding protein
Source: Rabbit
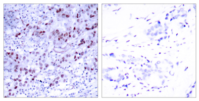
Dilutions: Western Blot: 1/500 - 1/2000. Immunohistochemistry: 1/100 - 1/300. Immunoprecipitation: 2-5 ug/mg lysate. Immunofluorescence: 1/200 - 1/1000. ELISA: 1/10000. Not yet tested in other applications.
Immunogen: The antiserum was produced against synthesized peptide derived from human GATA1. AA range:109-158
Storage: -20°C/1 year
Clonality: Polyclonal
Isotype: IgG
Concentration: 1 mg/ml
Observed Band: 43kD
GeneID: 2623
Human Swiss-Prot No: P15976
Cellular localization: Nucleus.
Background: This gene encodes a protein which belongs to the GATA family of transcription factors. The protein plays an important role in erythroid development by regulating the switch of fetal hemoglobin to adult hemoglobin. Mutations in this gene have been associated with X-linked dyserythropoietic anemia and thrombocytopenia. [provided by RefSeq, Jul 2008],
关闭

在线咨询

Online consultation

  • 在线咨询
  • 技术支持

关注微信公众号

微信扫一扫立即咨询

微信扫一扫立即咨询

关闭