产品中心

FSHR rabbit pAb
一键复制产品信息
ES2378
规格: 价格:
50µL ¥1280.00
100µL ¥1980.00

Overview

Product name: FSHR rabbit pAb
Reactivity: Human;Mouse;Rat
Alternative Names: FSHR; LGR1; Follicle-stimulating hormone receptor; FSH-R; Follitropin receptor
Source: Rabbit
Dilutions: IHC-p: 100-300.Western Blot: 1/500 - 1/2000. ELISA: 1/5000. Not yet tested in other applications.
Immunogen: The antiserum was produced against synthesized peptide derived from human FSHR. AA range:211-260
Storage: -20°C/1 year
Clonality: Polyclonal
Isotype: IgG
Concentration: 1 mg/ml
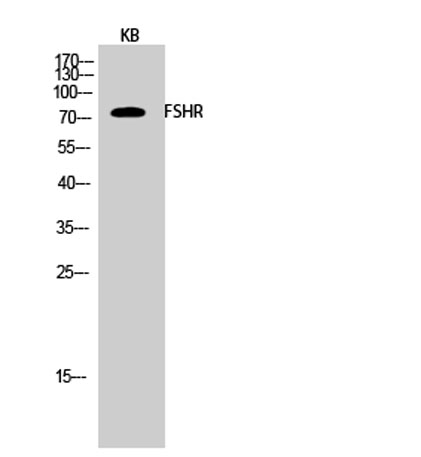
Observed Band: 70kD
GeneID: 2492
Human Swiss-Prot No: P23945
Cellular localization: Cell membrane ; Multi-pass membrane protein .
Background: The protein encoded by this gene belongs to family 1 of G-protein coupled receptors. It is the receptor for follicle stimulating hormone and functions in gonad development. Mutations in this gene cause ovarian dysgenesis type 1, and also ovarian hyperstimulation syndrome. Alternative splicing results in multiple transcript variants. [provided by RefSeq, Mar 2010],
关闭

在线咨询

Online consultation

  • 在线咨询
  • 技术支持

关注微信公众号

微信扫一扫立即咨询

微信扫一扫立即咨询

关闭