产品中心

Flk-1/VEGFR2 rabbit pAb
一键复制产品信息
ES2351
规格: 价格:
50µL ¥1280.00
100µL ¥1980.00

Overview

Product name: Flk-1/VEGFR2 rabbit pAb
Reactivity: Human;Mouse;Fish
Alternative Names: KDR; FLK1; VEGFR2; Vascular endothelial growth factor receptor 2; VEGFR-2; Fetal liver kinase 1; FLK-1; Kinase insert domain receptor; KDR; Protein-tyrosine kinase receptor flk-1; CD antigen CD309
Source: Rabbit
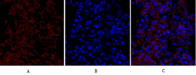
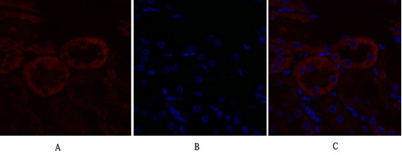
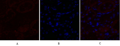
Dilutions: Western Blot: 1/500 - 1/2000. Immunohistochemistry: 1/100 - 1/300. Immunofluorescence: 1/200 - 1/1000. ELISA: 1/20000. Not yet tested in other applications.
Immunogen: The antiserum was produced against synthesized peptide derived from human VEGFR2. AA range:917-966
Storage: -20°C/1 year
Clonality: Polyclonal
Isotype: IgG
Concentration: 1 mg/ml
Molecular Weight: 152kD
GeneID: 3791
Human Swiss-Prot No: P35968
Cellular localization: Cell junction . Endoplasmic reticulum . Cell membrane . Localized with RAP1A at cell-cell junctions (By similarity). Colocalizes with ERN1 and XBP1 in the endoplasmic reticulum in endothelial cells in a vascular endothelial growth factor (VEGF)-dependent manner (PubMed:23529610). .; [Isoform 1]: Cell membrane; Single-pass type I membrane protein. Cytoplasm. Nucleus. Cytoplasmic vesicle. Early endosome. Detected on caveolae-enriched lipid rafts at the cell surface. Is recycled from the plasma membrane to endosomes and back again. Phosphorylation triggered by VEGFA binding promotes internalization and subsequent degradation. VEGFA binding triggers internalization and translocation to the nucleus.; [Isoform 2]: Secreted .; [Isoform 3]: Secreted.
Background: Vascular endothelial growth factor (VEGF) is a major growth factor for endothelial cells. This gene encodes one of the two receptors of the VEGF. This receptor, known as kinase insert domain receptor, is a type III receptor tyrosine kinase. It functions as the main mediator of VEGF-induced endothelial proliferation, survival, migration, tubular morphogenesis and sprouting. The signalling and trafficking of this receptor are regulated by multiple factors, including Rab GTPase, P2Y purine nucleotide receptor, integrin alphaVbeta3, T-cell protein tyrosine phosphatase, etc.. Mutations of this gene are implicated in infantile capillary hemangiomas. [provided by RefSeq, May 2009],
关闭

在线咨询

Online consultation

  • 在线咨询
  • 技术支持

关注微信公众号

微信扫一扫立即咨询

微信扫一扫立即咨询

关闭