产品中心

Fli-1 rabbit pAb
一键复制产品信息
ES2349
规格: 价格:
50µL ¥1280.00
100µL ¥1980.00

Overview

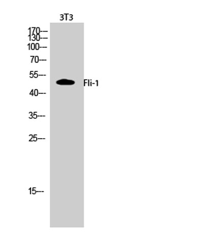
Product name: Fli-1 rabbit pAb
Reactivity: Human;Mouse
Alternative Names: FLI1; Friend leukemia integration 1 transcription factor; Proto-oncogene Fli-1; Transcription factor ERGB
Source: Rabbit
Dilutions: Western Blot: 1/500 - 1/2000. Immunohistochemistry: 1/100 - 1/300. ELISA: 1/10000. Not yet tested in other applications.
Immunogen: The antiserum was produced against synthesized peptide derived from human FLI1. AA range:291-340
Storage: -20°C/1 year
Clonality: Polyclonal
Isotype: IgG
Concentration: 1 mg/ml
Observed Band: 50kD
GeneID: 2313
Human Swiss-Prot No: Q01543
Cellular localization: Nucleus .
Background: This gene encodes a transcription factor containing an ETS DNA-binding domain. The gene can undergo a t(11;22)(q24;q12) translocation with the Ewing sarcoma gene on chromosome 22, which results in a fusion gene that is present in the majority of Ewing sarcoma cases. An acute lymphoblastic leukemia-associated t(4;11)(q21;q23) translocation involving this gene has also been identified. Alternative splicing results in multiple transcript variants. [provided by RefSeq, Aug 2012],
关闭

在线咨询

Online consultation

  • 在线咨询
  • 技术支持

关注微信公众号

微信扫一扫立即咨询

微信扫一扫立即咨询

关闭